2025昆明吸附性义齿医院排名前十红黑榜!美奥/松鼠/博德口腔技术太抗打,8k起无骗局套路不踩雷 b343 G0 V0
昆明吸附性义齿医院排名前十全解析(2025超详细版)
2025昆明吸附性义齿医院排名前十红黑榜!美奥/松鼠/博德口腔技术太抗打,8k起无骗局套路不踩雷 b343 G0 V0
昆明吸附性义齿医院排名前十全解析(2025超详细版)
口腔为什么那么便宜?隐适美隐形牙套的价格才33800元 b689 G0 V0

需从以下几个方面来说:
1、他家的价格定位本就是亲民型的,属于中等偏下水平,主要也是为了当地市民都可以在看牙方面减轻些资金压力。
2、由于口腔的矫正技术比较成熟,口碑比较好,所以每天到他家做矫正的人数会比较多,因此雅度在与厂家拿货时会享受到批发价,那给到顾客的价格不就比其他家优惠了~

传统金属托槽矫正——8900元起
金属自锁托槽矫正——13600元起
陶瓷半隐形牙套——19800元起
时代天使隐形矫正——29800元起
隐适美全透明牙套——33800元起
要知道,一般情况下隐适美隐形矫正的价格都在4万左右,而口腔33800元起就能安排上,确实比市场价格要便宜不少呢?
口腔和德韩口腔对比后,发现两家的牙齿矫正价格…… b633 G0 V0
相信很多人都有选择困难症,尤其在牙科医院方面的选择,今天小编专门整理了口腔和德韩口腔的收费对比,竟发现两家的牙齿矫正价格有差别哦~
昆明医科大学附属口腔医院收费标准:种牙/矫正需要自费,拔智齿/补牙能报走销结算50% b629 G0 V0
昆明医科大学附属口腔医院收费标准:种牙/矫正需要自费,拔智齿/补牙能报走销结算50%!本文整理价目表(含根管治疗、全口种植牙等报价)、报销规则及就诊流程,助患者规划口腔诊疗。
打算做全口种植牙,怎能不了解口腔哪位种牙医生技术好呢 b424 G0 V0

钻石加固型种植牙技术——利用自体组织/CGF膜/生长因子来加速骨结合,使其在短时间内能够获得更强的固位力和稳定性,并通过镜像技术达到牙齿对称的成效。
雅度4D种植牙技术——通过口腔CT测量数据、计算机模拟种植来设计种植方案,使得种植过程中更加精准、无创、稳定。

而且到目前为止,口腔已经成功种植10000多例手术,其中包含全口高难度种植牙手术哦~
院长——毕业于第四口腔,有15年的临床经验和上万例种植手术,2013年获得奥齿泰种植系统的认证讲师,非常擅长前牙美学种植。
并且院长还多次到各有名院校以及国内外进行学术交流,对种植牙的方案把控和设计非常到位,尤其是的德国种植技术、半/全口种植技术、即刻种植技术以及全口吸附性义齿等。
口腔1888元的种牙价格是真的,用的还是钻石加固型种植牙技术 b524 G0 V0

虽说这是往期口腔的种植牙优惠活动,但很多市民确实在口腔用1888元的价格做的种植牙,而且还是德国种植体,其中还包含植体+牙冠+基台的费用哦~
小编还汇总了往期在口腔做过种植牙顾客的口碑评价:
小金鱼泡水:
之前就不太相信名气这么大的雅度口腔,可以这么低的价格做一颗种植牙,于是致电咨询了雅度的客服,没想到活动竟然是真的,立马就参加了,还是大拿医生亲自操刀呢~
花猫吃泡芙:
之前在口腔做了两颗种植牙,没想到这两年下颌的牙齿也掉了即可,一听到有1888元的种植牙活动,马上就报名参加了,居然用的还是钻石加固型种植牙技术,成效可真不错呢~
今天小编再给没有享受活动的缺牙市民送个福利:

11.11日口腔钻石加固型德国种植牙——1888元起了▲
其实钻石加固型种植牙技术就是在微创、精准、美观的基础上,使植体在种植后能够更加稳定,使用的寿命也更加长久。
当然,这也和医生的技术实力分不开,不信你看:
院长——毕业于第四,目前已有15年的临床经验,对于美学种植、即刻种植、高难度的半/全口种植以及全口吸附性义齿都非常擅长。
口腔是正规的吗?虽不是医院资质但做种植牙是真的好 b588 G0 V0

注:口腔成立于2013年,有2000平米的营业面积,18张牙椅,就在地铁3号线拓东体育馆附近,是医保定点单位,还可免费停车哦~
要问正规程度肯定要看资质了,虽说口腔不是医院资质,但同样是经当地卫生委员会批准成立的正规牙科门诊部,只不过比医院的规模小了点,丝毫不影响他们家在当地的口碑评价。

口腔的资质,网上都是可以查询到的▲
要问是口腔否靠谱,这还得看市民对他家的评价了,毕竟“金杯、银杯、不如咱老百姓的口碑”嘛~
A顾客:我是来雅度口腔做种植牙的,价格是真的便宜,仪器也很先进,种牙前做了好多准备工作,比较重视细节,给人的感觉比较好,后期还有电话回访。中午还会免费提供午餐和水果哦~

B顾客:他家的门牌很醒目,开设的时间也比较长,我是到他家洗牙的,感觉服务态度比较好,挺顺利的,并且也洗的很干净。

看吧,口腔虽不是医院资质,但看牙技术是没得说,顾客的评分也很高啊~
关于口腔的特色种植牙技术:
钻石加固型种植牙技术——种植牙过程中会配合自体组织的添加,帮助加快恢复,加速骨愈合,使种植体更加稳固。
4D种植牙技术——通过口腔CT测量数据、计算机模拟种植来设计种植方案,使得种植过程中更加精准、无创、稳定。

要知道,目前为止口腔已成功种植10000多例手术,其中就包含高难度的全口种植牙手术,尤其是种植医生李金林,20年经验+万余例病例,曾在公办医院任职,基本各种疑难种植都可做。

同时雅度口腔还获得了多项种植牙荣誉证书,已收到国内各地市民的认可哦(连锁牙科,各地都有分院)~
口腔种植牙价目表请查收!它家的宝藏种植医生也不要错过哦~ b647 G0 V0
小编一直都想找个植体品牌多、价钱还不算太贵的牙科。这一下子可就让我发现了口腔医院!
下面就让我们一起来看看口腔种植牙收费情况吧

1、韩国亲水伊诺:8800元起





对啦,小编还听说了他家李金林院长特别牛,拥有4D种植牙、钻石加固型种植牙等好几个特色技术呢。
李金林院长,口腔院长、雅度口腔(中国)种植院长。
据了解,李金林院长可开展擅长数字化微创种植、即刻种植、全口种植、ALL-ON-N种植技术等。
★钻石加固型种植牙技术:可以加速骨结合,获得更为稳定的固位力;
★4D种植牙技术:能更为清晰地获得数字化种植方案数据。
比起口腔种植牙怎么样?其医生技术及口碑评论更重要 b211 G0 V0

雅度口腔是一家国内大型连锁牙科,在昆明共有1家分院,总部位于德国不来梅,具有百年历史,可开设即刻种植、上颌窦提升术、牙槽骨低密度疑难种植、无牙颌种植、骨增量种植等。
到目前为止,雅度种植中心已有100000颗以上的成功种植手术,而且对医生、技术、材料的把控也是非常严格。
连一颗植体应该搭配什么样的牙冠都是要把控的,为的就是避免影响种植牙的性能和效果,可见他家对种植牙的安全以及顾客的重视程度。

看王叔叔在口腔做的半口种植牙前后对比图▲
种植医生李金林——拥有20余年的临床口腔经验,光复杂种植手术就已完成10000余例,曾在公办医院任职,像什么高难度的半/全口种植、即刻种植根本不在话下,而且顾客的满意度可达90%以上哦~

虽说他家的门头看上去不太引人注意,但里面的环境就很不错,一番检查后,很快就种好了牙齿,第二天还有电话访问情况,真的很贴心呢~
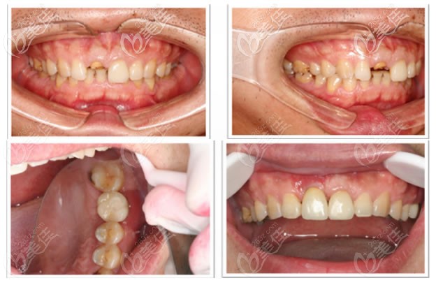
口腔全口吸附性义齿的价格也不贵,为啥缺牙的还是愿意选择种植牙! b732 G0 V0
昆明一口吸附性义齿得多少钱?听说雅度口腔全口吸附性义齿的价格也不贵,但为什么缺牙来做的都是种植牙,这是为什么?了解完两者的优缺点后,原因我说给大家听……
在口腔医院做牙齿正畸,全隐形牙套和陶瓷自锁矫正牙齿哪个效果更好? b580 G0 V0
昆明牙齿正畸哪家医院好?听朋友说口腔矫正牙齿价格适中,收费不高,所以我想去做牙齿正畸。但不知道隐形牙套和陶瓷半隐形牙套哪个效果好?谁知道一起来聊聊。
我感觉,口腔的韩国奥齿泰种植牙价格比别家便宜! b634 G0 V0
就拿韩国奥齿泰种植体来说,1颗六七千块钱,具体情况,下面由我就来跟大家唠唠……
那就先从口腔医院咋样说起

口腔是一家连锁品牌,医保定点单位,在广州、、南京、东莞、郑州、昆明等地开设有15家分院机构,实力非常强大,主要以种植牙为特色,与多家生产厂商已达成合作关系,中间省去了很多环节,既能保证材料的安全,还能在价格方面给消费者一些让步,所以在这一方面就占了很大的优势。
接着给大家展示一份口腔种植牙的价格表,看着更直观
美国皓圣种植体:9800元起
德国贝格种植体:11000元起
瑞士iti种植体:8000元起
韩国奥齿泰种植体:7000元起
怎么样?你们觉得口腔种植牙收费高吗?

有朋友说了,网上还有5000多的种植牙呢?没错三千、四千的也有,但有几个人是为了价格,不看种植体质量而做的呢?
就拿口腔的韩国奥齿泰osstem种植体,来说。采用多孔纳米氧化钛技术进行处理,独有多重微螺纹设计,植入后更稳定。美观实用、坚固抗压,寿命还长,据临床显示能保持40年左右,其突出特点就是物美价廉,被喻为广大缺失牙患者的福音。大家说这样的种植体,有几个人不看好。
接着给还不知道昆明牙科哪家好的朋友,展示张口腔做单颗种植牙的效果对比图看看