医生介绍:熊飞,美颜正畸主治医师,面部微整形理念倡导者。在“8大严苛牙医准入”的基础上,拥有超过10年口腔正畸临床经验,具备专业研究方向,精通正畸领域治疗,对青少年错颌畸形的形成机制有深刻的认识。

荣誉资质:
会员
美国隐适美无托槽牙套指定认证医生
时代天使指定认证医生
奥姆科(Ormco)指定认证医生
美加(Mega)品牌授权医生
擅长项目:传统正畸、隐形正畸、成人及青少年儿童正畸、各类疑难矫正等高难度牙齿矫正治疗。
熊飞医生,在正畸方案上非常具针对性,并能够科学运用生物力学规律的力量,把握正畸的力度、时间、正畸弓丝材料性能等参数,使正畸的效果更好更安全。熊飞医生在正畸治疗中追求“颜面-齿-颌”的协调美,提倡正畸目标为:健康、美观、功能和稳定,并率先提出“正畸美学—面部微整形”等新理念,深受顾客们的好评和信赖。
熊飞医师所获荣誉证书:

广州圣贝口腔熊飞医师风采展示:
1、严谨专业、见解独特。工作中,对每一位顾客负责,严谨、细心,仔细倾听顾客的需求;
2、方案系统、经验丰富。为顾客量“齿”定制合理的正畸方案,并耐心给顾客分析口腔情况,进行效果预估;
3、精专学术、积极进取。认真对待每一次学术交流和技能提升的机会,并斩获数项荣誉。
4、心态开阔,视患为友。竭力为顾客解决牙齿烦恼,与之分享工作的点滴,视顾客为朋友。

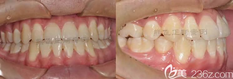
<广州圣贝口腔熊飞医生深覆合正畸案例效果图>↑↑