孙世尧(广州圣贝口腔院长/主任医师)——30年余载大医精诚 专注于口腔

全科委员
全军委员
圣贝集团口腔医生委员会副主任委员
广东学美容学会常委
湖北师协会口腔医师分会常务理事
孙世尧院长所获证书:↓

医生简介:孙世尧,从事口腔临床工作30年,师从第四原校长、口腔医院院长赵铱民。从1995年开始深研颌面畸形矫正,接诊并治疗颌面畸形患者近千例、颌面肿瘤患者数百例。2005年开始开展口腔种植手术,接诊并治疗疑难种植牙手术数百例。
擅长项目:齿槽外科学、口腔颌面肿瘤手术、口腔颌面缺损修复、口腔唇腭裂整复术、口腔种植疑难病症、GBR膜引导骨组织再生术、数字化种植牙、前牙美学种植等。
GBR膜引导骨组织再生术:是增加牙槽骨骨量的一种重要技术,通过在缺骨区植入人工骨、自体骨,表面覆盖一层保护膜(钛膜、生物膜),引导骨细胞向缺骨区生长,使缺骨区的骨量重新肥沃起来。
数字化种植牙技术:是在数字化3D导板的辅助下,让整个种植过程更安全、快速、高效,同时大大降低创伤,顾客术后感觉舒适、恢复。
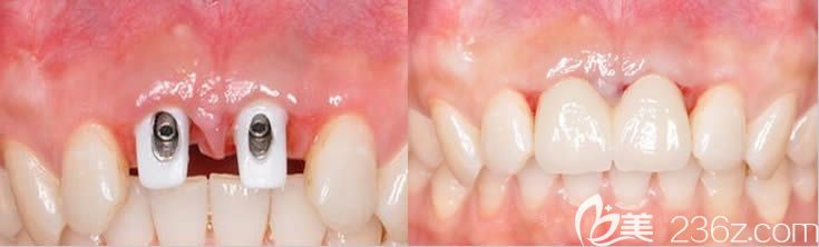
前牙美学种植技术:利用数字化3D模拟技术,CAD/CAM美学设计与制作技术,对种植术区的牙槽骨,牙龈进行测量与评估,确保修复后种植牙及牙龈的形态、色泽在口腔内协调自然。

<广州圣贝口腔孙世尧院长前牙美学种植案例图>↑