在广州圣贝口腔做牙齿矫正,历时两年半解除我牙齿反颌的地包天症状
-
项目:
-
日期:2019-03-08 17:46:27 ( 2469天前 )
-
医院:
-
医生:
-
价格:
-
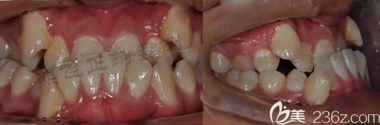
术前照片:
-
术后照片:
本案例内容由社区网友分享发布,如有侵权请联系本站删除
牙齿矫正真是个大工程呀!必须要有一定的信心和耐力坚持下来。我的牙齿是反颌,也就是大家常说的“地包天”,不过现在终于完成矫正了。历时两年半,是在广州圣贝口腔找熊飞医生做的矫正治疗。下面就是矫正完成后的前后对比,有面部图,也有牙齿图。

其实在很早的时候就知道自己这是反颌了,感觉越来越严重了就去医院检查,在广州前后对比了几家医院和医生之后定在了圣贝,也定下了熊医生。可能是医缘关系吧,感觉他更像是个大哥哥,很亲切。
我的牙真的很尴尬,虎牙两颗外飘,上门牙是被下门牙包着,很是尴尬,下排牙也不整齐,歪七扭八的,也不知道我小时候换牙时怎么搞的。所以我就总是抿嘴笑,不然真的很丑。

做为男生,戴牙套真的有些不太方便,每次饭后漱口刷牙的,被同学笑说,我这生活还真是精致呀!挺不好意思的。不过说归说,毕竟自己的牙齿效果才重要,一生中也就这两年的麻烦日子,这样想想心里就平衡些了,也算是给自己加油吧!

戴牙套日子终于结束了,整个矫牙期间,都挺顺利的,一切都是按照预期的效果在逐渐排齐。想想也挺神奇的,我那么凌乱搞笑的牙齿,经过两年多时间的修整,居然也能变的这么整齐。

这就是熊飞医生,看着就很和善吧,旁边这个当然就是我了,还有我那反颌牙齿矫正后的对比照。较后给个经验给各位想要矫牙或者是正在矫牙的朋友,一定要选择一个负责任的医生哦,让你的矫正少走弯路,并且可以缩短矫牙的时间呢。




