“嘉定私人牙科诊所哪家好呢?做牙齿矫正和种植牙选择一样吗?”,其他的小编不清楚,今天新上的这份上海嘉定口腔医院排行前十榜单,有上海雅悦口腔、上海维乐口腔、上海正睿齿科、上海摩尔口腔、上海极橙口腔、上海美乐口腔、上海瑞伢美口腔、上海张志平口腔、上海佳品口腔,推荐的均为嘉定区正规且收费合理的口腔医院。
上海嘉定牙科医院排名排名前十公布,了解嘉定区牙科医院哪家好:
1、上海雅悦口腔嘉定大融城门诊
地址:嘉定区宝安公路3386号大融城风情街二楼203-206。
2、上海维乐口腔美维晶门诊嘉定店
地址: 市嘉定区洪德路242号1楼(洪德路与裕民南路交自叉口侧)。
3、上海正睿齿科嘉一口腔门诊部
地址:嘉定区福海路150号。
4、上海摩尔口腔嘉定分院
地址:市嘉定区胜辛路447号中信泰富万达广场3层。
5、上海极橙口腔
地址:上海市嘉定区南翔镇宝祥路158
6、上海美乐口腔嘉定益佰门诊
地址:市嘉定区嘉松北路352号。
7、上海瑞伢美口腔
地址:上海市嘉定区德园南路485弄48号
8、上海摩恩口腔
地址:上海市嘉定区环城路2222号号嘉乐园大厦6幢102-4室
9、上海张志平口腔
地址:上海市嘉定区南翔镇民主东街55号
10、上海佳品口腔
地址:上海市嘉定区嘉怡路269二楼
在以上这些嘉定牙科医院排名前十,其中有几家特别大,特别给大家详细介绍下。
1、上海雅悦齿科
上海雅悦齿科连锁,20多年的老品牌,拥有AI数字化看牙中心,专门的正畸正颌诊疗中心,实力规模不是一般牙科能媲美的。关键是它家的医生,尤其是种植牙医生都特别牛,有留学硕士,或国内有院的种牙医生……

上海雅悦齿科的收费价格也不贵,尤其是现在有活动,价格还特亲民。
半口种植牙立减高的话可达2000元;
3D数字化隐形矫正高达10000元;
且期间口腔检查费用、方案定制费用、医生看诊费用都是免费的。

2、上海维乐口腔
上海维乐口腔,隶属美维口腔集团,在就有20多家,医生大多是名校毕业,拥有硕博学历的医或高经验值的医生。如,擅长舌侧矫正的杨国平院长;专精儿牙的罗罡博士;不仅精通种植牙,而且还擅长美学修复的翟建博院长……

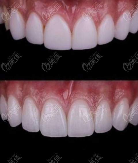
上海维乐口腔平时的收费价格比一般门诊会高些,但是它家不管是做种植牙、矫正的,亦或是美学修复的,都不是一般牙科可以比的,有具体实例为证的。顾客在其他牙科做了贴面修复,感觉颜色死白,也比较假,又来维乐做了修复。修复后牙齿看起来漂亮多了,而且美观度能和真牙媲美。
上为其它牙科半口贴面,下为在维乐修复后的▼

而且现在维乐口腔也有活动,不管是韩国、德国、还是瑞士品牌的种植牙首颗的价格都打5折扣的,半口即刻负重种植牙4.8万起。
所以,小编在这里还是要老生常谈的,如果你是做大项目,如半口全口种植牙、牙齿矫正、全口贴面……尽量选嘉定区大些且口碑好的牙科,价格贵点也无所谓,省的做完的让你后悔。
推荐阅读:
上海普陀区牙齿矫正哪家医院好?汇总普陀正畸便宜又好的排名前20机构名
2024上海闵行区牙齿矫正医院排名前十,闵行整牙好价格还实惠的医院推荐
上海嘉定区种植牙排名前三,做半口/全口种植牙必去上海雅悦/泰康拜博/维乐





