有牙友反馈有种牙打算,但是不清楚虹口区附近牙科诊所哪家好呢?作为一个常年探店的小编,对于虹口区牙科口腔专科医院还是比较了解的,于是就整理了这份虹口区口腔医院排名及收费表。

新汇总的虹口区牙科医院排名及虹口区口腔诊所收费价格表:
一、鼎植口腔七宝凯德广场店
【上榜理由】:
专注种植牙,尤其是高难度种植牙,目前穿颧穿翼种植病例破6000例(适合牙槽骨重度萎缩,或通过常规上颌窦提升无法种植的人群)。
【特色技术】:
半口速齿种植牙,VIIV缺骨植技术
【种植医生推荐】:
华(有3000+VIIV穿颧穿翼病例,每年会在国内巡回授课);
黎强(原拜博连锁牙科种植总监)。
【鼎植口腔收费价格表】:
韩国登腾种植牙:4980元/颗起
以色列AB种植体:11800元/颗起
瑞士ITI种植体:12800元/颗起
速齿半口种植牙:5万元起
舌侧隐形矫正:6万元起
二、松丰齿科
【上榜理由】:
成立时间久,不管做种植牙和牙齿矫正都比较有名,而且种植牙在享受5年质量联保的基础上,还可以享受5年的牙冠免费维护服务哦!
【特色技术】:
隐形牙齿矫正、数字化种植牙、微创种植牙
【种植正畸医生推荐】:
蒋勇军(种植牙病例数比较多);
卢帅芳(在引导骨组织再生技术方面有独到见解);
刘泉(原正畸医生,有3000+正畸病例);
邢志东(原正畸医生)。
私密诊室,医生一对一讲解方案▼

【松丰齿科价格表】:
韩国登腾奥齿泰种植牙:4980元/颗起
美国皓圣种植牙:5800元/颗起
德国ixc种植系统:6800元/颗起
隐适美隐形矫正:38000元起
时代天使单膜:28000元起
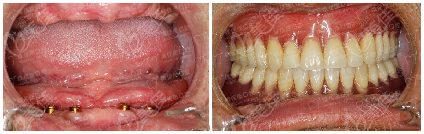
三、维佳康口腔虹口店
【上榜理由】:
医 保定点单位,连锁齿科,实力较强,除了在虹口区,在徐汇区、静安区、宝山区、青浦区等都有分店。
每家店特色略有差异,虹口区这家店在种植牙和隐形矫正方面各有优势。
【特色技术】:
隐形矫正技术、即刻种植技术
【维佳康口腔的价格】:
隐形矫正:20000-45000元起
瑞士 ITI 种植牙(含全瓷牙冠):12600元/颗起
美国皓圣植体+爱尔创全瓷冠:8800元/颗起
维佳康口腔全口种植牙前后效 果对比图▼

今天虹口区牙科医院排名及虹口区口腔诊所收费价格表就分享到这里了。
除了以上三家外,在虹口区比较有名的牙科医院,还有拜博口腔(价格稍微贵点),和虹口区。
另外在这里建议大家,牙齿有问题及早治疗,别小问题拖成大问题,一百多就能搞定的事情,非得拖到拔牙不可。





