一名重度牙周炎的牙友私信问我:22岁换掉一口牙齿需要多少钱?我想知道全口种植牙的价格!本期小编就来解答这位朋友的疑问!

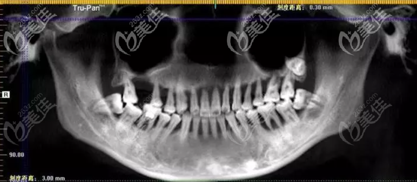
据了解,这位网友的牙齿大部分有不同程度的松动,已逐渐丧失了咀嚼功能,一日三餐只能吃点软的东西,偶尔嘴馋时喝点肉汤或是吞块肉,早已不知道吃肉是什么味道。

而导致她牙松动及功能丧失的是重度牙周炎,明明才22岁,但你说她80岁,或者90岁都不为过;为今后的生活质量考虑,她决定为自己做全口种植牙,只要能正常吃饭,多少钱都能接受。
22岁换掉一口牙齿需要多少钱?全口种植牙的价格都在这~
全口Allon4种植牙——15万元起,上下颌各植入4颗植体就能恢复全口咀嚼功能,因植体数量减少,费用也会相应减少,深受缺牙市民的喜欢。
全口即刻负重种植——12万元起,当天种植,当天就可进食,要求种植的位点区域没有炎症和其他的情况,并在拔除自然牙24小时之内种植。
满口微创种植——10万元起,创伤小(比拔牙的伤口小),出血少,比传统种植的愈合时间缩短40%以上,但需要4-6个月的愈合期。

虽说全口种植牙的价格确实不便宜,但22岁的年纪还有大把的时光,花十几万做满口种植牙用40年或者终身,小编觉得还是蛮值得呢~






