北京维乐口腔医院是一家连锁的口腔医院,也是一家专业从事口腔医疗服务的大型连锁齿科品牌,近些年,已经在、南京、大连、洛阳、杭州、福州、泉州、青岛等地成立了20多家分院,其中在北京地区成立了7家分院。院内开展有专业口腔检查、口腔正畸、口腔种植、儿童齿科、口腔内外科、口腔修复等服务项目,能为市民提供一站式的专业化口腔诊疗服务。

【北京维乐口腔各分院地址】:
北京维乐口腔总部(花园路旗舰店)——北京市海淀区花园北路35号9号楼一层101。
北京维乐口腔(中关村旗舰店)——中关村大街1号1号楼1层南部B01室。
北京维乐口腔(马连道店)——北京市西城区马连道南街2号院8号楼A座203室。
北京维乐口腔(十里堡店)——北京朝阳区十里堡乙2号院5号楼1层501内F101。
北京维乐口腔(劲松店)——北京市朝阳区劲松南路1号海文大厦一层。
北京维乐口腔(小营路店)——北京市朝阳区小营路25号楼1层101号。
【院内医疗设备】:

北京维乐口腔引进了数字内窥镜、全景扫描机、德国卡瓦牙椅、三位CT等专业诊疗设备,使口腔诊断更全面、准确。多年以来,维乐以“贴心服务、以人为本”的宗旨,致力成为了国内专业的口腔品牌。
【维乐口腔是中美合作MAXI数字化疑难种植】:
维乐口腔是北京合作单位、缺牙推荐机构,其种植由美国口腔种植专科医师学会区课程主席——陈鼎岳先生领衔,并由国内10多位种植医生组成,现已成为了北京及国内专业解决疑难、复杂种植病例的医疗机构,可开展无牙颌种植、上颌窦底提升术、骨增量技术(GBR)等高难特色种植项目。
维乐种植牙优势:每颗牙均签署质保,建立了种植档案,长期跟踪回访顾客的使用情况,并可进行国内联保。
北京维乐口腔种植牙价格:7000元起/颗。
【北京维乐口腔做种植牙怎么样?本院部分全口种植牙案例效果及顾客感受赏析】:
1、56岁余先生种植全口牙后的感受:

口腔问题:全口牙齿脱落,残根牙残留。
种植医师:葛成。
治疗方案:全口种植。
治疗时间:40分钟。
56岁前,我一直在用活动假牙,戴活动假牙的时候,挂钩还经常磨到牙龈,总是导致口腔溃疡频发。自从来维乐口腔做过即刻种植牙后,我觉得种牙过程也不不受罪,当天就拥有了满口真牙。
2、64岁陈先生,在维乐做完全口即刻种植牙的反馈:
口腔问题:牙齿龋坏脱落,仅剩残根烂牙。
治疗方案:全口种植牙。
我的牙齿已经掉的仅剩残根烂牙,在维乐做过种牙后,我现在终于能啃排骨、大口吃肉了,有一口好牙满足胃口,身体也倍棒。
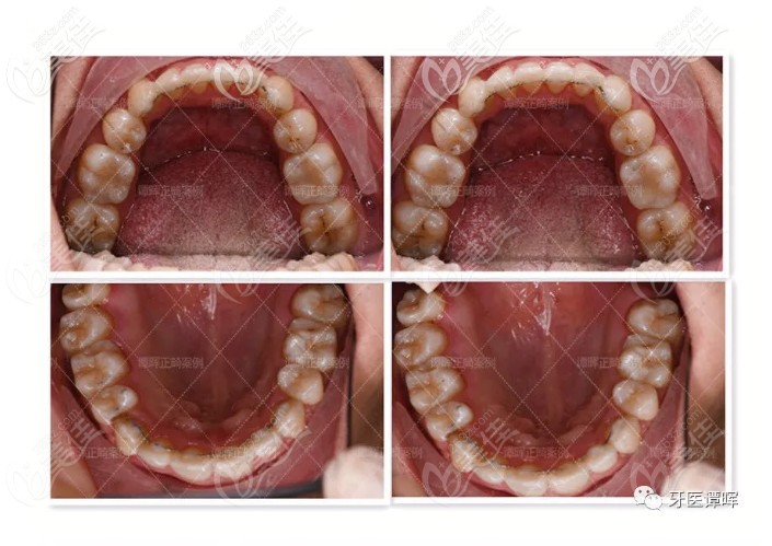
【北京维乐口腔正畸怎么样?地包天矫正、成人龅牙矫正、前牙开颌矫正案例效果展示】:

维乐口腔正畸,均由主任医师、副主任医师、高校毕业的正畸硕士组成,院内特色矫正技术有——MBT直丝弓矫正、陶瓷托槽半隐形矫治、自锁托槽矫正、美国隐适美隐形矫正。
北京维乐口腔牙齿矫正价格:儿童矫正: 5000元起、成人牙齿矫正:9800元起、隐形矫正:28000元起。
【儿童齿科介绍及儿童牙齿矫正、纳米树脂补牙等案例效果展示】:
维乐口腔儿童齿科,主要对0-16岁儿童的各种口腔疾病的诊治,如乳恒牙龋齿、牙髓炎、根尖炎、多生牙拔除、乳恒牙龋病预防、窝沟封闭、咬合诱导、儿童牙齿不齐矫正等儿童牙治疗项目。
【北京维乐口腔专业化的医疗团队】:
维乐口腔拥有医护人员100名,其中有35人具有20余年口腔临床经验,10名副主任医师、30名主治医师、60名执业医,能为每一位顾客的口腔治疗保驾护航,从而为各位市民提供全口/半口疑难种植、各类牙齿畸形矫治、高难度口腔修复等问题,提供个性化、全方位的治疗服务。