双侧推磨牙向后再配合正畸支抗钉的作用,终使我的个别牙反颌恢复正常!
-
项目:
-
日期:2020-06-08 15:13:12 ( 2011天前 )
-
医院:
-
医生:
-
价格:
-
术前照片:
-
术后照片:
本案例内容由社区网友分享发布,如有侵权请联系本站删除
医生说:反颌及个别牙反颌,都会造成咬合交叉错乱,牙齿不正常磨耗,切割食物不方便。事实确实如此....不过,我在北京维乐口腔通过推磨牙向后,再配合正畸支抗钉的作用矫治,已成功恢复正常喽~~~开心!

我的牙齿情况:牙齿不齐,个别牙反颌,咬合不佳,笑的时候很不好看。
我的愿望:希望通过矫正能帮我排齐牙齿,改善咬合,改善个别牙过度磨耗的情况。
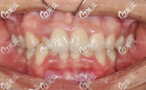
检查结果:医生给我的病例上面写的是——牙列不齐,上颌个别牙反颌,咬合错乱,张嘴笑时会明显看到牙齿比较杂乱,笑起来不自然(呵呵,描述的太对症了)。
<矫正前的正面口内照> ↓

<矫正前的侧面口内照> ↓

治疗方案:①上颌植入正畸支抗钉,双侧推磨牙向后做矫正;②内收上下前牙,改善面型,维持磨牙关系。
(通俗的讲,就是把我的牙齿向双侧后移,腾出空间后将前牙内收,来排齐不齐的牙齿,同时还能改变稍稍凸嘴的侧貌呢)

我的牙套:我选择的是陶瓷自锁托槽,它比金属牙套好看,比隐形牙套便宜,正合我意!
治疗周期:20个月。
矫正效果:上下牙列排齐,个别牙反颌恢复正常!满意哈!
自我感觉:自从我的牙齿得到了纠正,笑起来也自然了,和别人说话时明显自信了,不再担心别人的目光是落在我的乱牙上。
<矫正后的正面牙齿照> ↓

<矫正后,那颗反颌的侧切牙也正常归位喽> ↓

现在每次张嘴看到一口整齐的牙齿,喜悦之情溢于言表。因为,矫正对牙齿的改变,不仅是咬合的改善,还有颜值的提升哦!有同样牙齿问题的宝宝们,相信你们通过矫正,也终会达到像我一样的效果哦。




