上线时间:2018-06-19 10:53:38
有 效 期:一个月 (自支付定金之日起)
使用时间:医院正常营业时间皆可使用
服务说明: 如实描述
上线时间:2018-06-19 10:53:38
有 效 期:一个月 (自支付定金之日起)
使用时间:医院正常营业时间皆可使用
服务说明: 如实描述
¥0 0.0折
医院原价: ¥0
为您节省: ¥0
青春不将就,美牙正当时,合肥壹家壹整形美容医院口腔“大放假”,凡是活动期间来院做隐形矫正即送2000元,进口种植体买二送一,而且医院还有更多口腔优惠项目,让你轻松拥有一口好牙,绽放自信微笑。
活动时间即日起至6月30日。

网络预约可享受的免费项目:
1、免费隐适美扫描设计;
2、牙齿全景片X光片;
3、正畸方案设计免费。
合肥牙齿矫正多少钱?壹加壹牙齿矫正优惠价格表:
钢丝矫正3698元;
全隐形矫正7.6折起;
半隐形自锁托槽矫正7折起;
半隐形矫正7折起;
半隐形矫正特价8999元。
合肥壹加壹牙齿矫正案例恢复过程图:

合肥壹加壹牙齿美学修复活动价格表:
全瓷美牙贴面买3送1;
仿真铸瓷贴面1680元/颗;
美容冠特价688元/颗(金属冠);
美容冠特价1688元/颗(全瓷)。
合肥壹加壹牙齿美学修复前后对比图片:

牙齿种植多少钱一颗?合肥壹加壹种植牙优惠价格表:
进口种植体买二送一;
登特斯植体活动价5666元(包含植体、基台、牙冠);
进口植体活动价10880元(包含植体、基台、牙冠)。
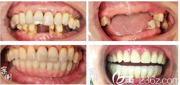
合肥壹加壹牙齿种植怎么样?种植牙案例效果来验证!

88元专场口腔专场:
超声波洁牙88元;玻璃子补牙88元;前牙残根拔除88元;消费满18000元送品牌口红一支,消费满10000元送抱枕一个,送完为止。
合肥壹加壹口腔推荐医师:
程红梅——口腔美容主任:
擅长项目:牙齿修复、牙齿美白、冷光美白、美容冠及补牙等。

徐泓——口腔美容主任:
擅长项目:牙齿矫正、补牙、烤瓷牙、冷光美白、牙齿美白及牙齿种植等。

1.无忧预订: 求美者在美佳预订项目时,在线上无需支付任何费用,本预约为求美者预留该项目优惠资格,到院消费后再进行支付,确保求美者的交易安全。
2.预约时间: 求美者在预约咨询手术时间时,无法预约当日手术,可预约手术日期为预订次日起至有效期结束之前。
3.预定过程中,请填写准确的手机号码并保持手机通畅,为保证求美者顺利到院进行咨询手术,预订后会有美佳网官方客服主动电话联络,确认具体到店时间。