上线时间:2020-09-23 17:40:49
有 效 期:一个月 (自支付定金之日起)
使用时间:医院正常营业时间皆可使用
服务说明: 如实描述
上线时间:2020-09-23 17:40:49
有 效 期:一个月 (自支付定金之日起)
使用时间:医院正常营业时间皆可使用
服务说明: 如实描述
¥2980 3.4折
医院原价: ¥8800
为您节省: ¥5820
广州地区的牙友们,想要做种植牙、牙齿矫正的亲们快来围观壹加壹口腔科优惠价格表!多种项目,超低价格等您享,错过悔一年,快来撩!

截止时间:2020年10月31日止。
壹加壹口腔作为品牌连锁,国内11城市13家连锁品牌医院,健康求美,品质服务!无隐形消费,售后齐全,专属一对一服务,为大家提供舒心的服务。
金属托槽矫正原价15980元,现¥7999元起;

半隐形陶瓷托槽矫正原价19800元,现¥13800元起;
正雅全隐形矫正原价22800元,现¥16800元起;
时代天使全隐形矫正原价39800元,现¥25800元起;
时代天使 comfos原价33500元,现¥18000元起;
隐适美全隐形矫正原价49800元,现¥36800元起;
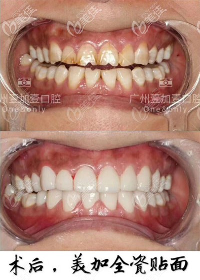
美加牙齿贴面原价3800元/单颗,现¥980元起/颗(两颗起购)
陶瓷半隐形矫正(半年简单案例)原价8800元,现¥4000元起;

种植体(韩国)+基台原价8800元,现¥2980元起;
种植体(德国)原价12800元,现¥6800元起;
种植体(瑞士)原价15600元,现¥8800元起;
二氧化锆全瓷牙原价3800元,现¥2280元起;

冷光美白/美国维瓦VIVA原价1980元,现¥1280元起;
美国3M树脂补牙(单颗)原价480,现¥196元起;
超声波洁牙原价380元,现¥176元起;
想了解广州壹加壹口腔科更多优惠信息,欢迎来撩!私信即有机会赢取牙齿口扫拍片检测哦!名额有限,心动不如行动哦!
1.无忧预订: 求美者在美佳预订项目时,在线上无需支付任何费用,本预约为求美者预留该项目优惠资格,到院消费后再进行支付,确保求美者的交易安全。
2.预约时间: 求美者在预约咨询手术时间时,无法预约当日手术,可预约手术日期为预订次日起至有效期结束之前。
3.预定过程中,请填写准确的手机号码并保持手机通畅,为保证求美者顺利到院进行咨询手术,预订后会有美佳网官方客服主动电话联络,确认具体到店时间。