上线时间:2019-08-15 11:13:56
有 效 期:三个月(自支付定金之日起)
使用时间:医院正常营业时间皆可使用
服务说明: 如实描述
上线时间:2019-08-15 11:13:56
有 效 期:三个月(自支付定金之日起)
使用时间:医院正常营业时间皆可使用
服务说明: 如实描述
¥18000 12.9折
医院原价: ¥14000
为您节省: ¥-4000
宁波恒美口腔成立于2008年,是宁波成立比较造的连锁口腔机构,度和关注度都挺高的,那么宁波恒美口腔到底好不好,收费价位又是怎么样的呢?咱们不如通过恒美口腔医生的案例和手术价格,以及顾客评价,来了解一下。
恒美口腔月湖门诊院长——王晓勇:

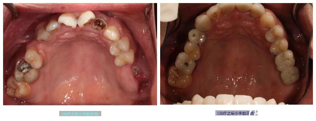
案例:为25岁的小李做即刻种植牙
进口种植牙参考价格:8900元/颗起
刚刚二十五岁的小李,牙齿却比五十二岁的人还差,全口多数牙齿龋坏,需要种植。

在面诊过程中被王医生的专业和细致所折服,就选择他做了种植牙手术。
术后评价:做完种植牙已有一年时间,在术后的定期复查中并没有发现问题,我现在也和王医生成了朋友,经常会在微信上聊天,也感谢王医生,让我能够大块朵颐,放肆吃喝。
宁波恒美口腔鄞州门诊主任,恒美口腔质控主任——徐路路:

案例:门牙全瓷冠失败修复
全瓷冠修复参考价格:5000元/颗起
李女士在外院做了全瓷冠之后,牙齿红肿发炎,并且看上去很假,后来经熟人介绍找徐路路主任做了全瓷冠修复。

术后评价:徐主任是个非常注重小细节,非常注重顾客体验的医生,和他接触之后,很容易被他的情绪感染,从他给我做了治疗之后,我家人从此都找徐主任看牙了。
恒合医疗投资有限公司正畸总监,恒美口腔万达店正畸科主任——王金:

案例:金属托槽矫正虎牙+隐形矫正牙缝稀疏+自锁托槽矫正拥挤不齐牙齿
牙齿矫正参考价格:
传统金属矫正:14000元起,进口自锁托槽矫正:24000元起,进口陶瓷自锁托槽矫正:26000元起,隐适美隐形矫正:45000元起。

牙齿问题不容轻忽,否则小问题就变成了大问题,花小钱能解决的事情,就变成了花大价钱也不一定能解决的问题。不过在这里温馨提醒大家,看牙一定要到正规的口腔机构,如果你有去打算去恒美口腔的话,建议先提前预约,到时候不用排队等候哦!
1.无忧预订: 求美者在美佳预订项目时,在线上无需支付任何费用,本预约为求美者预留该项目优惠资格,到院消费后再进行支付,确保求美者的交易安全。
2.预约时间: 求美者在预约咨询手术时间时,无法预约当日手术,可预约手术日期为预订次日起至有效期结束之前。
3.预定过程中,请填写准确的手机号码并保持手机通畅,为保证求美者顺利到院进行咨询手术,预订后会有美佳网官方客服主动电话联络,确认具体到店时间。