上线时间:2019-04-18 18:01:25
有 效 期:一个月 (自支付定金之日起)
使用时间:医院正常营业时间皆可使用
服务说明: 如实描述
上线时间:2019-04-18 18:01:25
有 效 期:一个月 (自支付定金之日起)
使用时间:医院正常营业时间皆可使用
服务说明: 如实描述
¥17 0.0折
医院原价: ¥6820
为您节省: ¥6803
现在身边越来越多牙齿畸形、拥挤不齐的人选择了矫正牙齿,牙齿矫正有时候不仅可以改变牙齿的外观形态,对人的脸型也会有一定的影响。在这百花盛开的季节,洛阳拜博口腔为了回馈新老顾客的多年来的支持,原价6820元的牙齿套餐,现在仅需要16.9元,你就可以享受!

牙齿矫正套餐特价:16.9元,原价:6820元
牙齿矫正套餐内容:
1、牡丹花会门票可抵5倍费用
2、矫正高可减到10000元
3、矫正送国外五日游(可抵现)
4、写牙套日记,赢超值大奖
洛阳拜博口腔医院副主任——毕方医生简介:

时代天使隐形矫正认证医师
洛阳拜博口腔医院医疗部副主任
毕芳医生,主治医师,从事口腔临床工作近20年,擅长MRC儿童牙病早期诊治干预、青少年牙齿错颌矫正、成人隐形矫正,并治疗过上千例患者。
再给小伙伴看看洛阳拜博口腔的真人矫正案例哦:
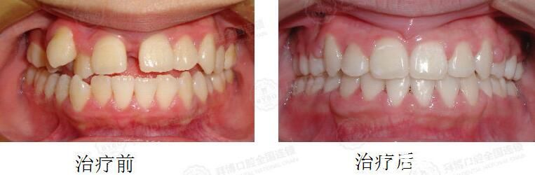
1、龅牙突嘴矫正案例
美女目前矫正还没有结束,不过这变化真的挺大的,小伙伴们说是不是?

2、又一个牙套美女毕业啦
采用固定矫正,拔除了四颗牙齿,1.5年的时间 。整齐的牙齿,和谐的侧貌,灿烂的微笑,这些一定会给你未来的生活加分很多!

3、10岁小女生地包天矫正后变开朗自信
据医生说,这个小女孩刚开始来复诊的时候,不敢笑,不爱笑,也不敢跟别人打招呼,到现在性格开朗,成为一个阳光,爱笑的女孩,早期矫正时间虽然不长,改变的却真的不少。

4、小妹妹牙齿拥挤不齐,双颌前突矫正
小妹妹矫正之前牙列拥挤,双颌前突,还有浅覆合浅覆盖等问题,经历了2年左右的牙套生涯后终于顺利毕业,拥有了一口漂亮的牙齿!

其实拜博口腔不仅矫正效果好,其他的治疗项目效果也不错哦,像是种植牙,牙周治疗项目,好像目前也有优惠哦。持家有道的小伙伴们,何不趁着拜博口腔做活动,相约一起看牙哦!
1.无忧预订: 求美者在美佳预订项目时,在线上无需支付任何费用,本预约为求美者预留该项目优惠资格,到院消费后再进行支付,确保求美者的交易安全。
2.预约时间: 求美者在预约咨询手术时间时,无法预约当日手术,可预约手术日期为预订次日起至有效期结束之前。
3.预定过程中,请填写准确的手机号码并保持手机通畅,为保证求美者顺利到院进行咨询手术,预订后会有美佳网官方客服主动电话联络,确认具体到店时间。