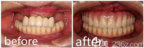
好民生口腔种植牙好吗?真实口碑:60岁高龄老人全口种牙方案可靠 b129 G0 V0
“好民生口腔种植牙好吗?”60岁张阿姨的亲身经历给出答案:种牙全程无痛、当天啃苹果,花费5999元享终身质保。本文通过真实案例深度解析好民生口腔的种植技术、价格透明度、老年种牙方案及售后保障,结合患者口碑(含差评反馈),揭秘其是否值得选择。核心聚焦“种植牙好不好”这一关键问题,为缺牙人群提供实用参考。
好民生口腔种植牙好吗?真实口碑:60岁高龄老人全口种牙方案可靠 b129 G0 V0
“好民生口腔种植牙好吗?”60岁张阿姨的亲身经历给出答案:种牙全程无痛、当天啃苹果,花费5999元享终身质保。本文通过真实案例深度解析好民生口腔的种植技术、价格透明度、老年种牙方案及售后保障,结合患者口碑(含差评反馈),揭秘其是否值得选择。核心聚焦“种植牙好不好”这一关键问题,为缺牙人群提供实用参考。
中山简牙口腔免费拍片靠谱吗?卫健委二级资质+扫码验设备,拍完无推销 b100 G0 V0
中山简牙口腔的免费拍片服务真实靠谱:作为卫健委认证的二级口腔专科医院,其免费拍片活动依托正规资质和扫码验真设备(可查医疗设备注册信息),全程透明无强制推销。院内配备德国瓷睿刻等先进器械,免费项目含全景片、口扫等基础检查,且承诺“不捆绑消费”,卫健委官网可查执业信息。患者只需提前预约、到院扫码验设备、主动拒绝非必要增项,即可安心享受福利。
中山爱尔眼科地址位于中山五路,支持线上预约挂号近视/白内障手术 b316 G0 V0
中山爱尔眼科医院,坐落于繁华的中山五路,不仅拥有一流的医疗设备、专业的医疗团队,还贴心地提供线上预约挂号服务,让告别近视和白内障的旅程变得更加轻松便捷。
中山种植牙多少钱一颗?得知各口腔医院单颗/全口种植牙价格后爱了 b1033 G0 V0
种植牙目前已经成为牙齿缺失的较好修复方式,除了关注哪家医院种牙好外,还有就是收费如何了。本文来告诉大家中山种牙费用是多少钱以及种牙比较好的牙科有哪些。
中山做牙齿矫正较好的医院排名揭晓,正畸技术好的医生也聚齐了 b1397 G0 V0
牙齿畸形要整牙,想知道中山市正畸哪里比较好?小编真是猜透了大家的心思,给朋友们整理了一份中山牙齿矫正医院排名,还有中山矫正牙齿好的医生给大家看哦。
中山牙科医院排名榜前十2025更新,中山口碑好价格便宜的牙科是好民生/天使口腔 b4880 G0 V0
各位牙友们,你们知道中山牙科哪里好又便宜吗?小编给大家更新了2025中山牙科医院排名榜前十名单,据了解中山好民生口腔,中山天使口腔医院等都是中山口碑好且价格便宜的口腔医院哦,看完本文就知道中山哪里看牙科靠谱了。
那些说中山好民生口腔收费价格贵的人,怕是还不知道德国icx种植牙种2送1吧 b814 G0 V0
中山好民生口腔德国icx种植牙种2送1,半口和全口种植牙的价格统统5折起,并且还有擅长疑难种植的黎洪强医生坐诊,你还在犹豫什么呢,快来种牙吧!
中山好民生口腔怎么样?矫正牙齿/种牙口碑评价一直好,近期活动价格也实惠 b1501 G0 V0
老爸想种牙,朋友给推荐了中山好民生口腔。为了弄清楚好民生口腔到底怎么样?我特地考察了一番,整理了一份好民生口腔目前活动价格表,顾客消费后对好民生口腔的评价,总体感觉还可以。有兴趣的,大家也可以自己看下。