佛山穗华口腔是医 保定点单位,也是暨南穗华口腔医院在佛山的分院,共享穗华口腔的技术、医生等资源。

依托于暨大100多年的医学教研背景,穗华口腔先后被评为“中国医疗改革创新示范医院”、“中国口腔诊疗临床教学医院”、“中国好牙医指定技能培训医院”等荣誉。
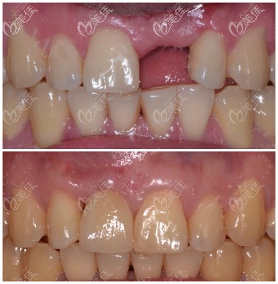
佛山穗华口腔开展口腔全项目,其特色项目是种植牙和牙齿矫正。
种植牙优势——
广州穗华口腔的种植水平目前已经得到整个行业的认可,每年穗华口腔都会举办国内较高规格的正畸、种植论坛会。
这类的论坛会一般都会有林久祥、林巍、尼克等医生一起参加平等交流。

广州穗华口腔医院佛山口腔门诊部目前开展有微创种植、即刻负重种植、即拔即种种植、3D数字化导板等种植技术。
牙齿矫正优势——

暨大佛山穗华口腔的传动矫正技术,专治各类牙齿骨性问题,稳定支抗,高效▲

Ebrace舌侧矫正技术,摩擦力小,量齿定制▲
穗华口腔每年都会举办“暨大正畸论坛”,是口腔正畸学术界较具影响力的论坛之一,广州穗华口腔还被授予“国内青年正畸医师临床实践基地”。
目前广州穗华口腔在广州市有7家门店,在佛山市有一家分店,这8家门店均隶属于广州穗华口腔连锁集团。
而且佛山穗华口腔已与10余家品牌厂家建立了长期的战略合作关系,增加了市民可挑选的多样性和选择性。

暨南佛山穗华口腔积极投身于社会公益事业,定期开展公益讲座、爱心义诊、特殊群体救助帮扶、科普宣教等活动。先后为上万人解决牙齿问题,引起了广泛的社会好评。