阳泉康贝齿科在阳泉市有2家分院,地址分部位于阳泉市开发区保晋路盛世新城底商、宁波路,占地面积1500余平方米,年均就诊人次达15000余例。
阳泉康贝口腔医院,是由省卫计委批准设立的阳泉市二级专科口腔医院,城镇居民医保定点单位。

康贝齿科开展各类微创种植牙、数字化隐形矫正、微创拔牙、瓷贴面、烤瓷及全瓷冠、瓷嵌体补牙、显微根管治疗、牙周深度刮治等现代化口腔诊疗技术,并承担了省卫计委“儿童牙齿免费窝沟封闭的预防工作”。

康贝齿科汇集了种植、正畸、修复等多位专业医生,如:时代天使和隐适美认证医生赵晓辉、毕业于河北的修复医生高晓旭、擅长固定及活动义齿修复的焦文斌等。

阳泉康贝口腔的材料多样化,可以满足不同顾客的经济需求,如:
韩国迪奥DIO、韩国美格真EZ-Pus、以色列ABT、以色列Cortex、瑞典诺贝尔Nobel active等进口种植牙系统。
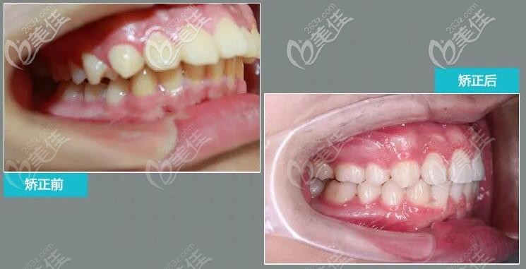
隐适美隐形牙套、时代天使单膜/双膜透明托槽、普通金属弓丝、进口陶瓷自锁、美国Damon自锁、美国AO自锁等牙齿矫正器。
国产爱尔创全瓷牙冠、德国威兰德全瓷/锆牙冠、则武彩瓷全瓷冠、吉尔巴赫全瓷牙套、登士柏钴铬金属烤瓷冠、玻璃陶瓷嵌体、铸瓷嵌体、吸附性义齿等。

康贝齿科标准化消毒流程▼
康贝齿科收费透明、公示化,所有价格是根据物价局标准收取,并在院内醒目的墙壁上张贴各种费用明细表,不会出现隐形或诱导消费的情况。
阳泉康贝口腔为了给顾客提供更全面、更安全的诊疗服务,特引进了:朗视CBCT(口腔专业超大视野,能更清晰看到牙槽骨、牙周情况)、丹麦3shape正畸扫描仪(省去了传统咬模,仅需3分钟就能提前看到矫正后的效果)、德国蔡司根管显微镜(可将牙根放大到30倍,医生能够看的更精准)。