广西蓝天口腔集团实力介绍
广西蓝天口腔医院集团凭借上腔医疗品牌实力(股票代码:873101),在多个城市开创了20多家口腔连锁机构,光在南宁就有将近10家分店,还有一家资质是二级口腔专科医院级别,辐射服务范围广。
广西蓝天口腔医院集团凭借上腔医疗品牌实力(股票代码:873101),在多个城市开创了20多家口腔连锁机构,光在南宁就有将近10家分店,还有一家资质是二级口腔专科医院级别,辐射服务范围广。
南宁蓝天口腔医院是当地的一家二级口腔专科医院(不是随随便便开一家医院就是二级资质,须达到一定规模,满足相关医护人员配备,设施设备齐全等因素,才可经相关部门批准成立)。
南宁蓝天口腔医院地址位于:广宁市青秀区金州路27号1-3楼

南宁蓝天口腔医院主要开设的科室有:口腔正畸科、牙齿种植科、牙齿修复科、CT拍片检查、消毒供应、灌模室、技工室等。
1、南宁蓝天口腔医院种植牙:种牙过程全程可视化,可有效解决无牙颌等难题;采用即拔即种种植牙技术,拔牙种牙一次性完成,种牙时间得到了一定的缩短。
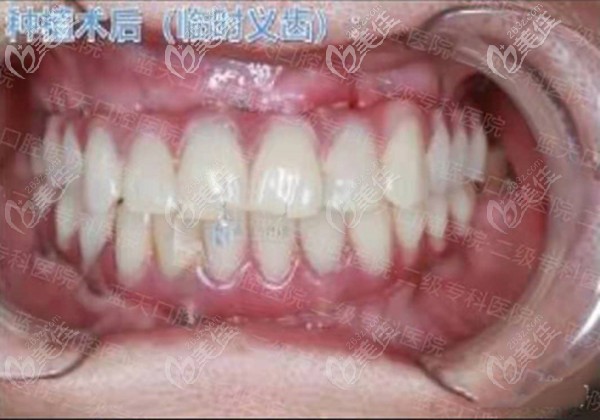
2、南宁蓝天口腔医院牙齿矫正:牙齿矫正技术多,金属,自锁,陶瓷,隐形矫正都可以做,采用3D演示矫正方案,矫正结果提前预测。
3、南宁蓝天口腔医院DSD美容修复:采用数字微笑技术,在考虑牙齿咬合关系的同时,兼顾牙颌面的整体美观。

南宁蓝天口腔医院都是临床经验年限长的医生团队,还经常出席国内外学术交流会。每一位入职蓝天口腔的医生都必须持有卫生部颁发的资格证,经过带教培训,半年以上技能考核,才能正式上岗。
而且南宁蓝天口腔医院通过举办继续教育学习班以及临床技术操作班,使每一位口腔医师都能够在操作上规范化,从而提高医师的水平。

南宁蓝天口腔医院是正规医院,由南宁市卫健委审批通过,有专门的审批机关,登记号等信息,大家从卫健委官网便能查出来,可以放心去做治疗。
南宁蓝天口腔医院:广宁市青秀区金洲路27号1-3楼
西大门诊:广宁市西乡塘区南宁东路90号(地铁1号线广西站D出口)
江南门诊:广宁市江南区五一西路新跨越大厦3楼
辛华门诊:广宁市西乡塘区龙腾路80号台 湾街台北11楼(全层)
吾悦广场店(金川口腔):广宁市兴宁区金川路7号吾悦广场1号楼三层317~323、325号商铺
嘉和城门诊:广宁市兴宁区昆仑大道995号嘉和城温莎北郡27栋一层111、112号商铺
金座旗舰店:广宁市青秀区凤凰岭路16号荣和公园大道金座二楼
荣恒店:广宁市青秀区竹溪大道2号荣恒国 际名都A座二楼