诺贝尔牙科源自于1935年的瑞典,是一家牙科连锁诊疗机构,西安诺贝尔口腔成立于2014年,在西安开设有3家分店。


☆☆☆详细地址:
雁塔店:西安市雁塔区翠华路与南二环交汇处(长安南门对面)
高新店:西安市高新区团结南路与科技路十字东南角(枫叶新都市西门往北200米)
碑林机构地址:文艺北路178号(文昌门向南100米路西)

西安诺贝尔牙科开设有口腔种植、牙齿矫正、牙齿美容修复、综合齿科及儿童齿科等五大科室。

除了这五大科室外,诺贝尔口腔还有自己的特色诊疗技术,如:诺贝尔种植牙技术、Trios牙美容技术及预知美数控矫正技术。

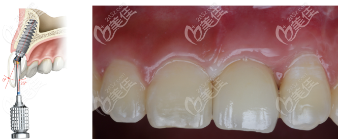
★★★诺贝尔种牙技术:利用微小切口将创伤降低,相比传统种植牙减少了肿胀、出血以及种牙时间,增加了种植牙的成功率。
★★★Trios牙美容技术:根据DSD微笑设计,不磨牙或少磨牙,在7天的时间就可以改变牙齿的颜色和形状。
★★★预知美数控矫正技术:提前预见矫正,可以看到每颗牙齿移动的位置,缩短了矫正的时间。

诺贝尔牙科的医疗团队的医生都有自己擅长的诊疗项目,团队的临床经验均超10年以上,如赵医生,拥有多年的临床经验,尤其精通口腔种植修复。

为了保证顾客的诊疗卫生,西安诺贝尔口腔引进了先进的德国MELAG消毒流程,所有的机械都经过全面消毒,做到“一医一助一室一机一盘一针一消毒”,避免交叉感染。

在诊疗的过程中西安诺贝尔牙科实行透明化,保证顾客对每笔消费都心知肚明,始终坚持“一对一”的服务方式,并为每位到店的顾客建立个人档案。