张海飞医生从事口腔工作十多年,曾先后在西安、第四军口腔进修学习。
擅长项目有:牙齿矫正、牙齿美学修复、牙体牙髓病治疗、全瓷牙、精密附着体等。
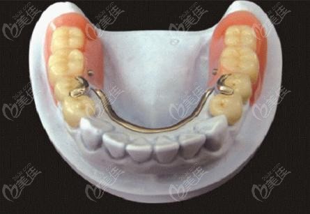
普通活动假牙是通过固体卡环和基托将义齿来修复缺失牙及活动牙拔除后修复的。
而附着体镶牙是一类可摘戴的半固定半活动假牙,它一边固定在假牙上,另一边附着在真牙上,利用不同的精密附件实现固位,适合不想拔除松动牙、且牙槽骨里的牙根健康的人群。

附着体义齿用精密附件替代了金属卡环,机械嵌合形成超强固位力,咀嚼效能恢复至85%以上,正常饮食没问题。
提醒大家:牙齿缺失一定要及时进行修复,长期不修复邻牙很快就会受到牵连,比如对牙会伸长,牙缝变大,吃食物塞牙,临牙会歪斜,牙齿移位容易发生继发性咬合创伤,造成进一步影响咀嚼,影响牙周的健康。