江西首批认证Invisalign隐适美医师
1、无托槽隐形矫正技术
2、舌侧隐形矫正技术
3、牙颌面美观与功能协调
燕玲 南昌维乐口腔主治医师,口腔正畸硕士,口腔正畸临床工作经验十余年,在核心口腔专科期刊发表论文及专题报告多篇,多次参加国内外口腔学术交流会议。

熟练运用各类自锁矫正技术及隐形矫正、微笑矫正技术,尤其是隐形矫正,是江西省早期开展隐适美隐形矫正的医生,也是江西省目前隐适美病例数较多的医生。目前为隐适美公司特聘讲师,致力于为矫正患者提供舒适与美观结合的矫正技术服务。已完成各种青少年、成人矫正病例多数,均取得良好的矫治目标,获得业界及患者的一致好评。
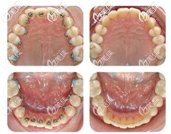
1、 舌侧矫正隐形美观
舌侧矫正是将将托槽等装置粘贴在牙齿内侧,外观上看不到托槽等,无论是在约会还是和朋友们的聚会等特殊场合,随时随地,想笑就笑。

2、如果你是疑难病例隐形矫正做不了的舌侧都可以矫正
在面对一些“疑难杂症”的时候隐形矫正显得有些力不从心。相较之下,舌侧矫正的适应症范围就大得多,从简单到复杂,舌侧矫正都可以轻松处理。而且舌侧尤其适合做双颌前突的病例。
3、避免唇侧牙套清洁不到位出现的白色的斑痕
戴过唇侧钢牙的朋友们都知道,如果你日常清洁不到位,在摘牙套的时候会发现牙齿表面出现了白色的斑痕,因清洁不到位,牙齿表面发生酸蚀,继而造成釉质脱矿。这时候舌侧矫正就派上用场了。

唇侧矫正出现的白斑
当然,即便你选择了舌侧牙套,也必须得好好清洁,这是矫正的铁规矩。
4、效率高,快速完成矫治
舌侧矫正在矫治效率比起隐形矫正就要好得多。
然而,舌侧矫治技术因为托槽要安在牙齿内侧,对医师操作的要求较高,并不是每个正畸医生都能做好。