苏州美奥口腔——李东
姑苏店正畸科主治医生
发表口腔专业EI文章两篇
发表国内口腔学术论文多篇
参编出版口腔医学本科教学用书三本

擅长项目
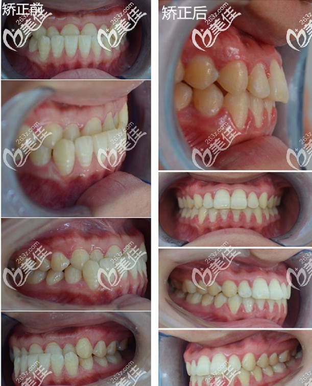
1、各类牙齿矫正,固定和隐形矫正颇为,精通尤其擅长各类复杂疑难的矫正病例;
2、牙周牙髓病;
3、口腔修复类项目
个人简介
李东,是口腔医学硕士,在加拿大口腔临床工作5年,是北华口腔的教师,具备深厚的美学功底,掌握了先进的矫正技术,拥有丰富的临床经验。

咬合关系不正常的影响
1、咀嚼受限
牙齿负责切割和磨碎食物,咬合关系不正常,上下牙的嵌合度差,往往食物不能磨碎就直接吞下,影响肠胃消化。
2、容易蛀牙
牙列不齐,容易让食物残渣堆积在牙齿中,一旦进入隐秘的清洁死角,就不容易清洗干净,发生蛀牙的几率就大大提高,厉害了还有口臭伴随。

3、牙周疾病的产生
(1)咬合不正引起闭口困难,由于牙龈长期接触空气,容易引起牙龈干燥及牙龈炎。
(2)重度龅牙的顾客,门牙太过前突,使下门牙咬在上门牙内侧的牙龈上,长期会导致上颌门牙舌侧的牙龈萎缩。
(3)牙齿内外错咬,咬合力过度集中在某些牙齿上,会对牙齿造成外伤性咬合。这股力量传达到牙组织,经常造成牙龈萎缩、齿槽骨流失等情况。

4、容易前牙断裂
前突的门牙经常会在外伤碰撞中早一步受到撞击。因此,这类咬合不正的牙齿,更容易断裂。