娟,主治医师,毕业于河北,自参加工作以来,专攻牙体牙髓、口腔修复、口腔外科等专业,擅长牙齿种植、牙体牙髓、显微根管、牙周治疗、美学修复及牙齿美容、微创拔牙等治疗项目。多年以来,凭着自己良好的医德,马医生在天津地区积累了较高的声誉和口碑。

【工作年限】:专注各种口腔诊疗和种植牙领域近10余年。
【学习历程】:多次参加国内外口腔医学交流会,其中,参加了国内外口腔医学交流会,多次参加口腔种植 、牙周手术、显微根管的培训及交流会,并完成所学专业的技能和职称考试。
【擅长项目】:
1、牙体牙髓、显微根管、牙周治疗、美学修复及牙齿美容、微创拔牙等治疗项目。
2、各类牙齿种种植,单颗/多颗牙种植、全口/半口种植、骨不足的高难度种植、矫正病例的综合治疗等。
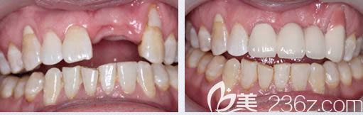
【天津中诺口腔医院——娟医生多颗牙缺失种植案例对比图】:

【关于种植牙的相关问题,来听听马医生如何说】:
1、种植牙需要多长时间?
对于传统种植技术,一般情况正是,从初诊到种植修复完成,一般需要3-6个月的时间;
2、种植牙安全吗?
目前,每年有众多例的种植牙案例,并且大量临床应用病例都已经超过了30年,如果到正规的口腔医院、选择技术靠谱的医生,做种植牙是很安全的。