杨春犁医生个人任职
青少年专科医师
矫正资深专科医师
DEO矫正副主任
儿童矫正资深专科医师
青岛隐适美俱乐部会员
中国台湾辅仁医疗机构特聘医师
Weile青少年激光诊疗组员

医生介绍:杨春犁,正畸医生,毕业于湖北口腔专业,现任青岛维乐口腔儿童矫正资深专科医师。先后在国内高端口腔连锁机构学习和工作10余年,多次参加国内外的正畸专业培训、深造,熟悉的掌握了国内外各种正畸前沿技术,并在口腔医院进修口腔正畸技术。目前还担任中国台湾辅仁医疗机构特聘医师、青岛隐适美俱乐部会员、维乐口腔集团资深正畸医师。
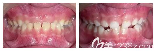
青岛维乐口腔杨春犁医生儿童反颌矫正案例:
矫正前:牙齿地包天;
矫正效果:6岁宝宝,经过一年的矫正、肌功能训练和杨医生的细心治疗下,已经成功改善了反颌情况!

擅长项目:传统金属托槽矫正技术、半隐形陶瓷托槽矫正技术、无托槽隐形矫正技术、MBT直丝弓技术、自锁托槽矫治技术、个性化舌侧矫正技术、儿童早期咬合诱导、青少年及成人的各种主流正畸矫正技术等。
杨医生在掌握了口腔正畸诊疗技术的同时,还积累了丰富的临床经验和深厚的口腔正畸理论知识。并且从不间断学习,始终是自己的正畸技术与化水平同步,善于将正畸医学和人体美学相结合,针对性的为不同顾客量身定制矫正方案!