医生姓名:候红
所在医院:厦门登特口腔医院
就职科室:登特口腔医院修复科医生

个人成就:
温尼尔美白贴面研发人之一
莲花登特口腔牙齿美容修复医师
委员
个人介绍:候红,毕业于河南口腔专业。具有10余年丰富的临床经验,接受过正规的烤瓷牙修复专业训练,为每一位患者提供合理的个性化的治疗方案,并为患者消除恐惧、减轻治疗过程中的不适感觉。候红医生工作态度严谨,精益求精,为人脚踏实地,认真负责,操作手法轻柔熟练,并以满腔的热忱为顾客提供满意的服务。
从业观点:术业有专攻,致力于牙齿的修复,不断精益求精,为每一位客户提供适合的治疗方案,让他们拥有美丽的笑容!
擅长项目:烤瓷牙、牙齿贴面美容、美容冠、全瓷牙、活动义齿修复及全口义齿修复等。
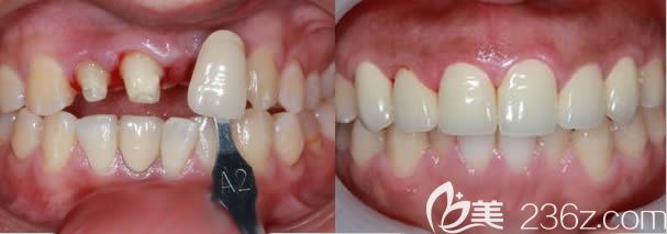
厦门登特口腔候红医生美容冠代表案例赏析:

工作上候医生胆大心细,治疗时把握住大方向,同时不忘细节。她说到“比起从医几十年的老资历牙医,我们年轻医生也有自身的优势。有些技术都是近些年才广泛在业内推崇,加以琢磨,不见得我们‘小辈儿’就经验不足。很多年轻的顾客找到我,在治疗的过程中聊起来也是没有障碍感,有的没的什么话都说。”
候红医生表示:一个好牙医,除了要有专业、专长的医术,更要用心去呵护顾客,对顾客负责。