【荣誉认证】:
东红岗 口腔副主任医师
留学新西兰口腔修复美容学者医学硕士
EZ DSD微创美学设计认证医师
2012年青年人才奖获得者

东红岗,副主任医师、国家一级、硕士生导师、留学新西兰口腔修复美容学者医学硕士、海涛口腔美学修复技术带头人,曾在医院口腔科工作过多年,现在是西安海涛口腔医院(电视塔)修复科的主任,从事口腔工作25年,在国外工作过5年,吸取了国外先进的口腔诊断和治疗理念 ,经过不断的研究、学习,在口腔美学修复方面形成了自己独到的见解。
东红岗主任多年来一直致力于口腔修复方面的临床工作和科学研究,还曾多次受邀参加国内外大型的口腔学术会议,曾就此发表了演讲,并获得了奖项,东医生尤其在在DSD微创美学,CAD/CAM快速椅旁修复、All-on-4种植修复、BPS吸附式全口义齿、咬合重建、牙外伤等方面拥有颇深的造诣。到目前为止,东红岗主任发表口腔核心期刊论著12篇,获国家17项 。
特色项目全新的活动义齿——BPS吸附式全口义齿:
BPS吸附式全口义齿是生物孔隙结构材料制成的假牙,因此坚固耐用,使用时间是传统假牙的数倍,且便于修复。由于生物吸附性假牙吸附力更强,保证了假牙始终保持在一定位置,因而不会产生假牙脱落的现象。相比传统活动假牙,“BPS吸附式全口义齿”具有外形更好、边缘更清、关系更准、受力更匀、吸附力更强等诸多优点。

擅长治疗:
各种复杂的美学修复,尤其在微创美学、CAD/CAM快速牙齿美容修复及牙外伤方面有着丰富临床经验、All-on-4种植修复、BPS吸附式全口义齿等。
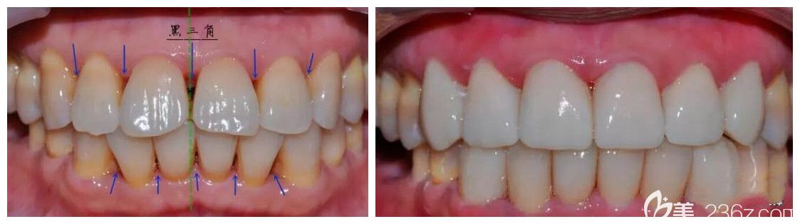
【东红岗瓷睿刻牙齿修复案例】:
主诉:牙齿前突、牙缝大
体检:前牙唇倾、前牙牙龈退缩、前牙区黑三角、下颌中线左偏
治疗:上下颌3-3瓷睿刻修复
