重庆时光口腔美容科主任 主治医师
秦彪医师毕业于口腔医学专业,从事口腔临床工作20余年,曾向多位国内口腔专业医生学习口内、口外及修复前沿技艺。擅长项目:牙合畸形美容矫治(包括活动性矫治器矫治、功能性矫治器矫治、固定性矫治器矫治)、全瓷冠修复、瓷贴面、牙齿漂白、牙周美容操作。

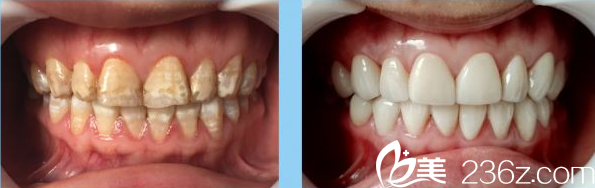
口腔医生秦彪医师介绍,瓷贴面是兼顾美学与微创的修复技术,近年来受到越来越多的患者和修复医生的青睐。贴面的厚度对美学效果的影响很明显,贴面越薄,其透射性越好,那么树脂粘接剂的颜色更容易透过贴面,较终对颜色的影响就会越大。研究表明厚度增加,材料的透射性降低,当瓷贴面厚度≤0.3 mm,透射性高,遮色性差,而后修复效果受牙体颜色和粘接剂颜色影响明显;如果瓷贴面的厚度介于0.4~0.7 mm之间,则透光性随厚度变化而降低;如果厚度>0.7 mm,其透射率的变化就比较小。

在粘接剂固化时,一种双固化树脂含有芳香胺,因其氧化作用导致了树脂颜色变化;而另外一种光固化树脂只含脂肪胺,脂肪胺导致树脂颜色变化非常小。因此含有芳香胺的双固化树脂比光固化树脂的颜色变化明显,所以不同的树脂材料对修复体效果会产生不同的颜色变化。
由于微创瓷贴面比较薄,透射性好,现在美学修复中有单色、双色和多色复合树脂粘接修复技术,可以根据患者对美学修复的要求和条件选择不同的粘接方法。相应的操作难度、时间随着树脂使用数量而增加,但美学修复的效果也越来越好。
一般情况下,单色复合树脂修复技术适用于对美学修复要求不太高或患牙色泽、形态及咬合关系正常的患者。双色复合树脂修复技术用于对美学修复要求更高的患者。多色复合树脂修复技术用于对美学修复要求非常高以及要求更加个性化修复的患者。