有着“东北虎”之称的口腔科医师
万州华美紫馨口腔美容科主治医师
北京口腔医院进修
东三腔医学会会员
口腔医学美容学会会员
华美中日新口腔美容临床技术交流中方代表
(现吉林)口腔医学专业毕业
擅长项目:牙齿美白、美容冠、口腔正畸、种植牙、各类义齿修复、各种口腔疾病治疗。

苗智许医师从事口腔美容临床工作多年,曾受邀代表参加“中、日、新”口腔美容临床技术交流大会。他不断学习和总结前沿口腔美容科技成果,让自身技艺始终与口腔美容技艺水平保持同步,在口腔功能修复的同时,致力于口腔美观、舒适、安全、持久耐用方面的研究,并将研究成果发表于国内外的多种专业医学刊物。
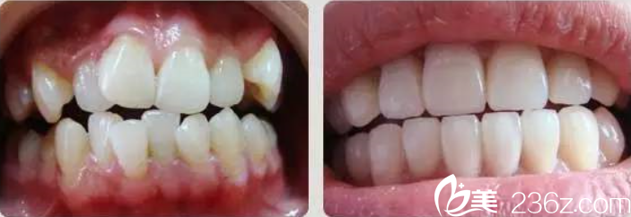
口腔医师苗智许介绍说,美容冠是牙齿美容的一种新型技术,起源于欧美、日韩等国家,对错位牙、畸形牙的临床冠部分施以专业手段,而后用美容冠加以修复。具有美牙不拔牙,无痛苦,时间短,牙齿坚固,多年后牙龈不会出现黑线等优点,从而达到终生有保障的美牙效果。

美容冠在不损伤牙齿、牙龈的前提下根据牙槽骨形态对牙齿做修整。做美容冠首先适度调整歪斜的牙齿,精细打磨凸出部位1-2毫米,然后在原牙外包以整齐洁白的美容冠,保护原牙,一口整齐亮白的牙齿,便大功告成,且不着痕迹。
美容冠的种类:
1、全瓷:全瓷美容冠有着比较好的透明度,医生能根据你牙齿的颜色调配出全瓷美容冠牙的颜色,形态逼真,有着非常好的生物相容性,不会给口腔环境带来影响,它还具有比较坚硬的特定,因而不管怎样,不会给正常的咀嚼能力带来影响。
2、仿生:纳米仿生美容冠是一种专业的牙齿美容整形技术。它更多的融入了仿生设计理念,在注重牙齿美观的前提下更强调牙齿结构天然、完整,与口腔各部分的高度兼容,利用健康环保无瘦脸残留的材质,塑造与真牙一样具有优良咀嚼机械性能的牙齿。