罗幼刚 院长
利美康口腔院长
“罗氏口腔世家”传人
港台有名人士指定“私人牙医”
原中院口腔主任、
个人简介:出身于名声显赫的罗氏牙科家族,曾帮蒋介石看过牙齿问题,刘邓大军的杨勇和苏振华两位将军也曾慕名前来;贵州省内的军队首领、少数长老、酋长等大人物都指定罗幼刚看牙;罗氏家族对贵州省牙科技术的发展,贵州腔事业的发展都做出了很大的贡献。

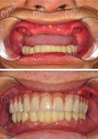
擅长项目:美容仿生冠,各类复杂口腔修复。
罗幼刚院长1976年毕业于贵阳临床医学系,1980年曾在口腔进修一年,1982年在昆明医院口腔科进修一年,曾任贵阳中第属医院口腔科主任,现为贵州省口腔学会常委,现任贵州整形美容外科医院院长,牙科主任。主要擅长美容牙修复、口腔高难度疾病治疗。发表过《结合治疗颌面蜂窝织炎》、《不锈钢粘钉修复前牙缺损》等十几篇论文。

利美康二楼口腔有一位温文尔雅的牙科院长,他就是贵阳大名鼎鼎的罗氏牙科的第二代传人罗幼刚。罗院长出身于大名鼎鼎的罗氏牙科家族,老父亲罗文刚为牙科医师、贵阳口腔医院建院后首任院长,是贵州腔事业发展的重要奠基人,在家族事业的影响下,罗院长也传承了老父亲的衣钵。

罗在利美康从事牙科贵州已有二十余年,面对明星光环,罗院长心态平和,在他看来,光环和名誉不过是大家对他的很小一部分认可而已,在他心中更看重的是求美者的信任和依赖。虽然手下有一批同样出色的医生,但他仍亲力亲为,每天准时到院,认真接诊每一位排队预约的求美者,耐心倾听他们的诉求,为他们提供细致专业的服务。