
王道军,宁波牙博士口腔医院院长、主任医师,从事口腔医学研究和临床工作23年,曾多次进修于南京口腔医院和韩国交流学习口腔种植技术,积累了扎实的口腔医学理论基础和丰富的临床手术经验。王道军院长熟练掌握多个种植系统的种植技术、系统、全面地理解口腔种植专业,把握亲的种植牙发展方向与理念,熟练掌握先进种植外科技术并应用于临床,已成功帮助数以万计的口腔患者重获健康笑容。
执业证书编码:120330212000179
医师级别:执业医师
执业类别:口腔
执业范围:口腔专业
执业地点:浙江省
主要执业机构:宁波牙博士口腔医院
发证(批准)机关:鄞州区卫生和计划生育局
多机构备案信息:
宁波牙博士口腔医院有限公司中兴路口腔门诊部(2017/08/01-2018/07/31) 鄞州区卫生和计划生育局
牙博士口腔连锁集团宁波牙博士口腔医院副院长
OSSTEM种植牙技术推广者
韩国3D微创精准无痛种植牙大师
韩国DGZI口腔种植协会会员
韩国贝格(Bego)种植体集团讲师
美国百康(Bicon)种植集团大中华区指定医师
全口缺失种植、即刻种植、无痛种植

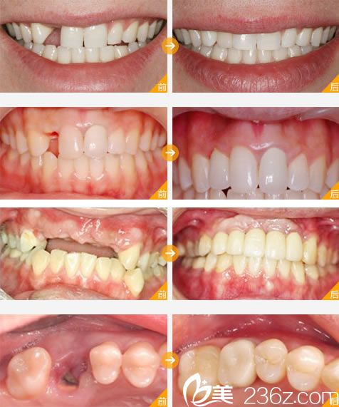
【宁波牙博士王道军院长微创即刻种植牙真人案例效果图片】
技术简介:微创即刻种植牙技术,是国外牙博士齿科集团20多年临床与科研的精华,以安全性、微创性、精准性、即刻性和高成功率在齿科种植修复界独树一帜。该技术依托口腔数字化工作平台,在具有丰富临床经验的医生操作下,通过全新3D全景CT扫描定位立体成像,计算出患者缺牙部位的牙骨组织情况,准确计算出种植牙的位置、角度、深度,做到量体裁衣一气呵成。
技术亮点:该技术针对牙槽骨情况好的患者可以即刻种植即刻修复,就是种完马上安装牙冠,不需要像传统种植牙埋入3个月后割开做二期修复(二期修复2个星期后拆线,拆完线再等一个星期才能带牙)。