
罗英民院长,从事牙科工作多年,拥有丰富的施术经验和专业的知识基础,手术时能真正理解爱美者的审美需求面做出准确的设计方案,为爱美者量身定制手术,熟练利用尖端设备精密诊断达到求美者的审美要求。
学历职务:
大韩牙科镶补学会 会员
大韩审美牙科学会 正式会员
美国宾夕法尼亚 结业
奥齿泰( Osstem implant ) 结业
Hanmi prosthetic course 结业
前) White牙科 审美镶补科长
演艺人 指定 主治医师
擅长项目:
审美镶补、牙齿整形、植牙、牙周炎治疗。
代表案例:
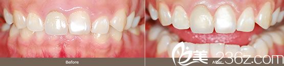
案例一:氧化锆生物陶瓷美容冠效果好不好

氧化锆生物陶瓷简单的来说就是人造钻石材质,所以是镶补材质中强度较的材质,同时又不会有腐蚀性,热传导性低对人体无害的材质,和自然牙齿较类似的颜色审美性高,被称为新一代人工牙齿。
治疗方式和其他的镶补治疗一样,都是先将牙齿的外侧面进行相对应的切除之后,根据脸部的比例或者是定制出想要的牙齿,适应之后进行氧化锆的粘贴。同时也是可以快速改善牙齿的模样或者颜色的牙齿整形方法中的一种,可以在短时间内设计出想要的牙齿的模样,同时还可以得到性美白的效果。
缺点是如果一旦出现碎裂后,重新粘贴或修复起来会比较困难。
案例二:牙床整形案例效果展示

牙床整形是牙床过高的不对称或牙床覆盖牙齿的情况,微笑的时候牙床过于被看见等外观上看起来不是很美观,需要改善牙床美感的施术。可以改善不自然的牙床状态和看起来给别人一种很郁闷的印象。
牙床密切的关系到牙齿的健康和寿命,牙床过于外露或是过于夸张的情况,牙床和牙齿中间的空间会经常被食物塞住,牙齿的健康会被影响。这个时候牙床的一部分需要被切割或者通过改善下部的牙槽骨的缝隙从而得到牙床整形,普通利用镭射的方式就可以安全的完成施术治疗,施术之前整体性的口腔状态,牙床状态都需要诊断之后,根据不同的情况有先要进行牙齿清洁治疗的情况的发生。