孙健医生是无锡维乐口腔的种植总监,AIC种植协会会员,毕业于佳木斯,从事口腔临床工作10余年,并多次参加国内外口腔学术交流会,在口腔全科治疗中累积了丰富的经验,有着先进的医疗理念及治疗技术。

在工作中可根据实际情况为顾客提供适合的综合治疗方案并顺利完成,为人诚恳,工作认真、动作轻柔,全心全意为顾客着想,深得顾客的信任和好评。
主要擅长嵌体补牙,常见及复杂的根管治疗,智齿拔除,前牙美学修复,后牙种植修复,各类烤瓷冠桥修复以及牙周病基础治疗等。
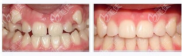
牙槽骨萎缩是能做种植牙的,导致牙槽骨吸收主要有以下几方面原因:
1、牙周病,会加速牙龈萎缩的恶化,而牙龈萎缩持续恶化的结果,会导致牙槽骨吸收,牙槽骨一旦吸收就不会再生了,紧接着就是牙齿松动,导致牙齿脱落;

2、长期缺牙不补,口内缺牙区的牙槽骨因缺乏生理性的刺激而发生骨质吸收,导致牙槽骨高度降低,宽度变窄,有的还出现牙槽骨变平,从而引起覆盖的牙龈也发生萎缩。

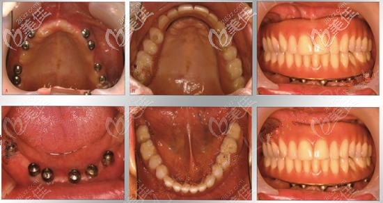
种植牙对医生的技术要求是很严苛的,一个成熟的种植医生需7~8年的经验,其中包括训练和临床实践,才有资格为顾客的口腔进行诊治。而口腔医院的环境也同样重要,无论是对消毒、环境、设备都有很高的标准。