徐雅轩,口腔种植美容修复医生,毕业于南京口腔专业,曾在公立医院工作多年,现任种植主诊医生。曾应邀参加德国西诺德3D齿雕培训、瑞士ITI种植培训,并出任多国种植集团特邀医生。长期从事口腔种植临床工作中,积累下了深厚的口腔种植经验和扎实的口腔种植理论知识。

个人任职
口腔种植美容修复医生
瑞士ITI系统区特邀医生
国内CAM/CAD修复医生
德国CEREC3D数字齿雕系统中华区技术总监
精湛技术项目:单颗种植牙、多颗种植牙、半口/全口种植技术、微创种植牙技术、即拔即种种植牙技术、各种疑难复杂口腔种植技术、牙齿美容修复、牙齿美白、牙周炎治疗、牙体牙髓病治疗、1小时德国西诺德CAD/CAM3D齿雕全瓷修复等。
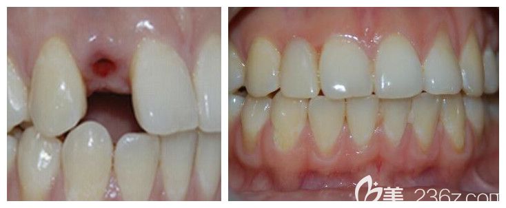
靠谱吗?看徐雅轩医生单颗牙种植前后对比图:

徐雅轩医生拥有非常娴熟的口腔种植修复技术和丰富的临床操作经验,他特别注重从顾客的角度为出发,针对不同顾客的牙槽骨、牙齿、脸型等情况,量身定制出专属的修复方案。他在工作当中认真负责、行医严谨;对顾客细心体贴、待人真诚;让众多的缺牙顾客能够重新拥有健康、漂亮的牙齿,从而深得广大顾客和同行人士的共同好评及认可!