蔡菁菁,广州圣贝口腔美学修复主治医师,口内治疗、正畸医生。蔡医师从事口腔专业临床及科研工作多年,多次应邀参与型口腔学术会议研讨会。曾进修于医院和,毕业后分配于兰州兰州医院工作,多次获得医院表彰。

全科专业委员会会员
广东学美容学会青年委员
时代天使指定认证医生
擅长项目:各类义齿修复、各种类型牙列不齐矫治;龋齿、牙体缺损修复、牙髓和根尖周围疑难病变治疗以及牙齿医学美学修复等,尤其对口内根管治疗有独特见解,并且经验丰富,操作手法娴熟。
下面,就给大家呈现几个蔡菁菁医生的牙齿美学修复案例:
顾客:李女士;
口腔问题:门牙龋齿、牙冠变色;
治疗方案:根管治疗+5D瓷睿刻修复;
治疗效果:炫白美观,如下图 ↓

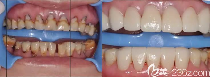
顾客:36岁宝妈;
口腔问题:全口牙根部龋坏、牙冠变色;
治疗方案:树脂充填+全瓷冠修复;
治疗效果:治疗后牙齿整齐洁白,如下图 ↓

蔡菁菁医生治好了很多很多,在牙方面有不同程度伤病的顾客,是圣贝口腔一面迎风飞扬的锦旗,是挂在门口的那种招牌旗帜。其深厚的口腔美学功底和非常丰富的临床经验,以及严谨的诊疗态度,多年来受到了众多牙友的赞美和好评。