尹国斌医师,毕业于佳木斯,获学士学位,是沈阳欢乐口腔医院口腔美容修复资深医生,对于先天或后天牙齿缺失修复、各类全瓷氧化错修复、重度四环素牙、氟斑牙、牙齿形状畸形的修复有着过硬的技术。

【部分荣誉成就】:
辽宁医学会口腔分会会员
【擅长项目】:种植牙、各类全瓷冠修复、牙齿美学修复、复杂修复等。
【从医格言】:医生是为顾客而存在的,一切利益为顾客着想。
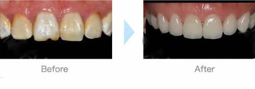
【沈阳欢乐口腔尹国斌医生部分案例展示】:
1、烤瓷牙损坏后,选择做全瓷冠修复后的效果图:
2、茶渍牙选择做全瓷美学修复后的对比照片:

【全瓷牙崩瓷可以修复吗?来听听欢乐口腔的尹国斌医生如何说】:
尹医生表示,目前全瓷牙的质量都非常过关的,一般情况 下,是不容易出现崩瓷的现象,安装以后,如果注意不要用牙齿咬太坚硬的食物(例如开啤酒瓶盖、要甘蔗等),平时注意口腔卫生,对牙齿进行清洁养护好,这样完全可以放心使用。如果出现崩瓷的现象,医生指出,对于众多临床病例,这样的情况下,一般是不可以进行修补的,需要重新做才行。