刘永桂,口腔副主任医师,全国口腔医学领域资深医生,曾任重庆医院口腔科主任,现任职重庆成佳牙博士口腔医院院长,执业证号:120500105000226,从事口腔医学教学、临床治疗和科学研究工作四十多年,熟练的掌握目前各种先进的种植技术,如金属钢丝矫正、自锁托槽矫正、隐形矫正等,在治疗各种口腔疑难病例上有着丰富的经验,到目前已有数千例成功案例。

成佳牙博士口腔国内医疗部成员
理事会员
成佳口腔正畸与修复学科带头人
在工作方面,刘院长抱着一颗积极进取的心,不会为已经取得的成就停留,为了和前沿正畸技术接轨,曾多次参加相关方面的培训和学习,还曾多次受邀参加国内外大型的口腔学术会议,并担任演讲嘉宾,还曾主持重庆市全科医生培训的口腔教学工作,还曾在国内医学期刊、杂志上发表过多篇论文。
在对待病人时候,刘院长耐心、温柔、还非常负责任,在为顾客治疗的同时,还不忘记为他们科普一些口腔预防保健相关知识,让顾客的口腔健康从预防开始,深受顾客的信赖和好评!
擅长项目:
各种牙颌畸形及疑难病例的诊治,各种儿童、成人疑难病例诊治。
重庆牙博士口腔牙齿矫正怎么样?刘永桂正畸案例效果公布
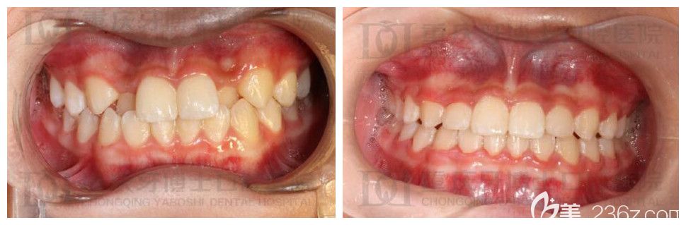
1、牙齿拥挤不齐矫正案例
矫正方式:全隐形矫正
矫正时间:1年

2、重庆牙齿矫正哪家强?牙博士刘永桂正畸案例实力验证
牙齿问题:个别反合
矫正方式:金属自锁托槽矫正
