医生姓名:柯松林
毕业院校:1996年毕业于武汉口腔
任职机构:北京中诺口腔医院
医生职务:正畸科主任
医生资质:副主任医师
从业年限:20多年

柯松林主任,自毕业后一直从事口腔临床工作,到现在已经从业二十多年,期间曾在公办医院的口腔科工作过十四年,牙齿矫正经验丰富。柯主任非常热爱自己的工作,在繁忙的工作之余,经常抽时间看书、研究牙齿正畸方面的理论和技巧,还曾多次参加先进的口腔矫正技术的培训和学习,多次受邀参加口腔正畸学术会议,于同行交流经验学习,在口腔正畸方面拥有颇深的造诣,不仅技术得到同行的认可,还受到顾客的赞誉和好评!

社会任职:
湖北腔医学会届正畸专业委员会委员
北腔医学会、第二届儿童委员
中华口腔医学专委会会员
荣誉认证:
美国隐适美Invisalign隐形矫正认证医师
时代天使隐形矫正认证医师
擅长项目:
1、擅长各年龄段人群口腔错颌畸形的综合性治疗,龅牙、地包天、开颌、牙前突、反颌、牙列拥挤等错颌畸形的矫治;
2、各项主流矫治技术及各类复杂疑难病例的矫治;
3、熟练掌握直丝弓矫治技术、美国隐适美无托槽隐形矫正,智慧自锁矫正、半隐形矫正、舌侧矫正等。
真人案例:
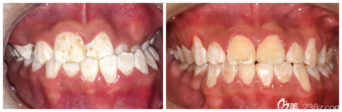
该患者在来中诺矫正前,去了很多地方都说不能矫正只能手术。可以看到矫正前他左侧的反颌,下巴偏左,制定方案为他做掩饰性治疗,拔除右下一颗前磨牙矫正改善面型解除反颌,患者还有氟斑牙,托槽非常容易脱落,所以尽以的努力才获得成功。

客户评价:
柯松林、有耐心、严谨、好相处、对人体贴、实力强。