宁夏华美口腔美容医师
擅长项目:牙齿正畸、牙列不齐、美容冠修复、烤瓷牙、牙周诊疗。

游春花医师从事口腔美容工作近十年,精通牙齿正畸及各类牙列不齐的矫正,在对美容冠修复和烤瓷牙的美容再修复方面更是具有丰富的临床经验。游医师倡导医学修复和美学设计的完美结合,推崇微创无痛的美学修复理念,在多年的临床工作中积累了丰富的口腔诊疗经验,掌握前端牙科技术治疗手段,崇尚“以求美者为”的服务理念,注重从求美者的角度出发,制定适合其独特的治疗方案,深得不同需求爱美人士的喜爱。

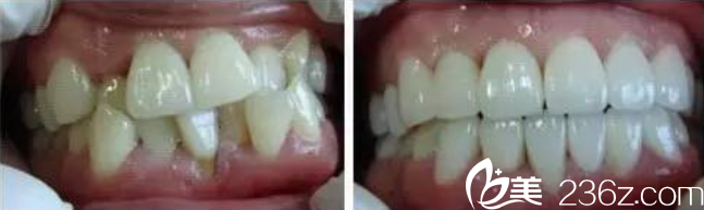
口腔科医生游春花向我们介绍以下几种牙齿矫正的方法:
1、活动矫治器:对于在乳牙或是替牙期的爱美者,这是较佳的牙齿矫正方法,方法比较简单,还可以配合固定矫治器进行矫正,方便爱美者自己摘戴。
2、无托槽隐形矫正器:因为工作的原因,对自身形象要求比较高,较合适的牙齿矫正方法就是无托槽隐形矫正器了,摘戴方便又美观,但这种方法适合轻度牙齿拥挤和个别牙齿扭转者。

3、正颌外科牙齿矫正:严重牙颌面畸形,列如上颌后缩和下颌前突等;一般正畸方法移动牙齿距离是有限的,但不能保障牙齿的效果,正颌外科可以大范围内搬动牙和骨头,效果比较好。
4、功能性牙齿矫正:这种方法适合替牙期或是刚刚换牙时的儿童,利用功能矫正器可以改善骨性错和畸形,对乳牙期、替牙期牙齿不佳,下颌后缩或是前牙反合者,使用功能性牙齿矫正方法效果很理想。
5、活动性牙齿矫正方法:这种方法常见于乳牙和替牙期比较单一的错和畸形矫正,也可以配合固定矫正器进行矫正。