这是我们呼和浩特华医口腔做的上半口种植牙案例,给大家展示下怎么样
-
项目:
-
日期:2025-02-07 11:07:14 ( 307天前 )
-
医院:
-
医生:
-
价格:
-
术前照片:
-
术后照片:
本案例内容由社区网友分享发布,如有侵权请联系本站删除
上期给大家分享了我们呼和浩特华医口腔做的后磨牙种植,大家纷纷表示很赞,说想看看半口或全口的种牙。那么,今天就应邀分享一份上颌半口牙齿种植,大家看这怎么样呢~
呼和浩特华医口腔的上半口牙齿种植来啦!

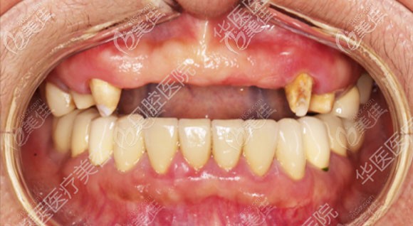
可以看出,这是顾客种植前的口内正面照。他之前做的是烤瓷连桥冠,前牙美学区的牙龈已经被磨牙,而且红肿。

在做完各项口腔检查后,医生为他设计的是3D数字化导板种植。
上图就是计算机模拟种植过程的3D动画图,当然,这只是其中的一个步骤图,实际上,整个种植过程都会在屏幕上清晰展示,并打印出一个“量身定制”的种植导板。

如图所示,这就是打印出来的种植导板,它就像一个导航系统,因为之前的植体位置、角度、深度等已经在电脑中设计规划好了。
术中,医生只需要按照导板上这个空位,直接打入种植体即可。

操作步骤,就如这张图所示。
整个手术植入过程比较微创,伤口只有3~4㎜,无须像传统种牙手术,需要翻开牙肉,拧入植体再进行缝合所造成的创伤那么大。
所以,术后的疼痛感也就比较轻,而且容易。

这就是顾客做完半口种植修复后的,他自己还是非常满意的。
大家觉得我们呼和浩特华医口腔做种植牙的如何呢,欢迎留言评论哦~




