刚在汕头德瑞口腔种植了一颗前门牙,用的是韩国奥齿泰纯钛材质的种植体
-
项目:
-
日期:2021-03-23 09:29:30 ( 1724天前 )
-
医院:
-
医生:
-
价格:
-
术前照片:
-
术后照片:
本案例内容由社区网友分享发布,如有侵权请联系本站删除
在我种植大门牙前,从网上看了许多关于门牙种植美学修复的案例,看图片中的效果还是蛮逼真的。我的这颗前门牙也是刚种植完毕,用的是韩国奥齿泰纯钛种植体+全瓷基台+全瓷牙冠,自我感觉良好。

这就是我种完门牙后的效果图,能看出哪颗大门牙是种出来的么~~
虽说年纪轻轻的就缺一颗门牙,让人挺心塞的,好在,现今的牙科技术发达,只要愿意花钱还是能够让“缺牙重生”的,虽然种牙过程有点繁琐,但效果还算如人意。

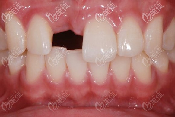
其实我掉的是右边的一颗门牙,如上图所示
是被意外磕掉的,整个牙冠部分都横向断开了,连打桩做冠的机会都没有了,医生说比较好的方法就是拔掉残根,做人工种植牙。
对于我这个年纪(21岁),种植修复要优于其他一切的修复方法。

这个种植牙,就是在拔掉牙根后,等待两、三个月的时间,主要是等拔牙窝恢复到可以植入“人工牙根”的程度。
然后开始进行种植手术,就是在缺牙的地方拧入一颗长的像钉子一样的“种植体”,有很多牌子,我选的是德瑞牙科价格比较便宜的奥齿泰,它是由纯钛材料制成的。
后牙的话一般用的都是原厂的金属基台,但是前牙如果牙龈和牙冠连接处,透出基台的金属色就不好看了,所以,加钱用了定制的全瓷基台。

先是在基台上安一颗过渡义齿,等植体和牙床“融为一体”后,才开始安装定制的全瓷牙冠,此时,种植牙才算大功告成~




