深覆合,露龈笑戴3M金属自锁托槽矫正后,都说我像去做了垫下巴
-
项目:
-
日期:2021-02-26 19:26:29 ( 1744天前 )
-
医院:
-
医生:
-
价格:
-
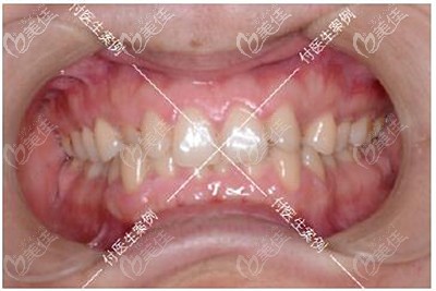
术前照片:
-
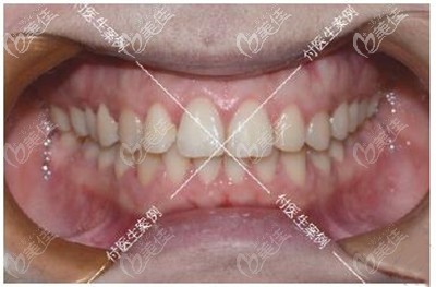
术后照片:
本案例内容由社区网友分享发布,如有侵权请联系本站删除
Hello,我是抠抠,有不少姐妹想让我出一篇做牙齿正畸矫正的记录文章,距离结束戴牙套的日子已经2个多月了,今天就给大家讲讲我的深覆合是如何矫正过来了。
牙齿诊断:牙齿拥挤不齐+深覆合+单颗反颌+下颌方形牙弓
牙齿矫正方案:拔牙2颗、佩戴3m金属自锁托槽
牙齿矫正后效果:牙齿排齐、咬合恢复正常
深覆合做牙齿矫正过程

大家可能看我的牙齿图片觉得我的问题不大,但其实我之所以下定决定要去做矫正的原因是因为我的咀嚼功能已经完全受影响了,而且上下牙咬合导致我睡觉经常磨牙、连带着下巴后缩也常常让我觉得自己像“凸嘴”...
所以本着都丑了20多年了,不能再继续这样了,我决定去做牙齿矫正了。
矫正方案是:

拍片子、取模型、商量方案,因为我本身没有什么需求,只是希望牙齿能排齐、微笑起来不再露牙龈,而且还矫正周期短一些。
所以牙套我选择的是金属自锁,性价比高,品牌选的3M金属自锁牙套,都说这个牙套摩擦力小,舒适感比较好,重点是治疗时间能缩短,这点还是很吸引我的。
深覆合牙齿矫正前后牙齿效果对比

具体的治疗过程是,因为本身的牙齿问题不大,所以我戴上牙套后没几个月牙齿就排齐了,差不多一年多的时间都是在调整咬合吧,牙齿矫正过程真的酸爽,这里安利一个小技巧,在牙齿矫正期间一定要好好刷牙,要不容易黑三角,而且做好牙齿清洁后,会发现比以前刷牙干净好多。

我做牙齿矫正一共花了差不多500多天,看我矫正后的效果,牙齿咬合调整好了,之前反颌的牙齿也归队了,重点是没想要深覆合做牙齿矫正真的会对脸型有影响!
我现在下巴出来了,笑起来更舒展了,再也不怕会露牙龈了。身边的朋友多怀疑我去做了整形,问我是不是悄咪咪的垫下巴了!哈哈,反正这个矫正效果我真的很满意,现在的侧面弧度我真的爱了。




