这是北京平谷美铭口腔为70岁老人做的allon6半口即刻负重种植牙案例
-
项目:
-
日期:2024-09-12 14:50:56 ( 450天前 )
-
医院:
-
医生:
-
价格:
-
术前照片:
-
术后照片:
本案例内容由社区网友分享发布,如有侵权请联系本站删除
这有一则70岁老人在北京平谷美铭口腔做上半口allon6即刻用种植牙的真人案例,以下是王叔自述的他的种牙经历和感受。
王叔自述为啥要做种植牙:
上半口没牙后,先做的上半口活动义齿,导致牙槽骨大量吸收,假牙老掉,吃东西都吃不成。到医院检查,医生说我这种情况已经无法做活动假牙,只能考虑种植牙。
因为上次做活动义齿的失败经历,所以在选择种牙医院上也是特别谨慎,对比了多家之后,才选择的美铭口腔。
取下活动义齿后口腔状况↓↓↓

为什么选择allon6,而不是传统种植牙技术:
因为牙槽骨吸收比较多,刘主任说做常规种植牙得植大量的骨粉,痛苦比较大,费用还高,0.25g的骨粉就得1000多,而且后期愈合情况还是个问题。
而allon6这个技术,可以避开牙槽骨萎缩厉害的地方进行种植,不用植骨粉,而且当天种好后,戴上临时牙冠就能吃东西。
网上找的传统栅栏式种植牙和allon4种植牙对比图↓↓↓
种植后体验:
种植好后,很多以前不能吃的东西,像是苹果、花生、坚果等等都是可以吃的。不过还有一点需要注意的就是,一定要维护好口腔卫生。
王叔说,人要是上了年纪,能好好的吃饭,就是非常大的幸福!
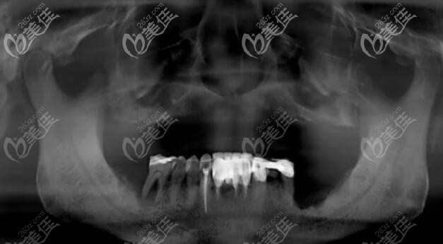
上半口做种植牙后的CT照片↓↓↓

后来大叔还对我说,他还要感谢刘主任,不仅医术高超,医德也不错,能体谅他的心情,站在他立场上考虑问题,不会给他一味推荐贵的植体和方案。他还说,以后他会介绍朋友过来看牙。




