一下子在广州马泷齿科做了6颗种植牙,费用真是比活动假牙贵许多
-
项目:
-
日期:2021-01-22 15:32:24 ( 1783天前 )
-
医院:
-
医生:
-
价格:
-
术前照片:
-
术后照片:
本案例内容由社区网友分享发布,如有侵权请联系本站删除
40岁就开始戴活动牙,且不说用着怎么样,心理上就很接受不了。所以,一次性在广州马泷齿科种了6颗种植牙,费用虽比活动牙贵好多,但是不再为缺牙而一直耿耿于怀了。

悲哀!四十岁就开始和缺牙打交道
今年才刚40岁,但是我的整口牙糟糕的却像60岁人的牙。我是女性,平时不抽烟,不喝酒,但是爱吃甜食,蛀牙多,还有牙周病。
可能和遗传也有关系,大小牙齿就差,补了很多颗,用了多年后,补过的牙齿都掉了,吃东西偶尔就掉一块,不痛不痒,也就一直拖着不管。
但是掉的多了,影响吃喝,不管就不行了。在家门口的诊所花几百元做了几颗和90岁老母亲同款的活动假牙。
但,从心理到生理都觉得不舒服,用了1年决定必须换掉。

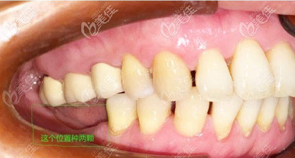
图中就是我那不争气的牙,缺牙位置上边的三颗也都是烤瓷牙,牙缝大是因为牙龈都萎缩了。
知道为什么缺牙部位已经没有牙龈了吗?医生说这就是牙槽骨废用性萎缩,加上活动牙的压迫和磨损,牙床就这样慢慢被吸收掉了。
时间长了,不是谁想种牙就能种的,还得有能撑起种植体的牙床才行。

所以,我的种牙方案中多了一项植骨手术,就是用人工材料来填补牙床,让牙床的高度和厚度能撑起种植体的大小。
不用说,也额外多了万元左右的支出。
真后悔没有早点做出种牙的决定,白白多受了一项植骨的疼痛,还多花这么多钱。

其实,我种这6颗种植体,不到一个小时,平均十分钟/颗不到就种好了。结束后我还心情愉悦地给院长发了信息表示感谢。
我想告诉大家的是:如果有医生劝缺牙的你,选择种植牙,千万不要觉得别人是为了赚你那点钱。牙齿掉了早处理早省钱,它和别的疾病不同,是不可逆的,只会越来越差,种的早用的早还省钱省事。




