武汉牙达人口腔医院汉阳店正畸案例:矫治牙列拥挤只用了14个月
-
项目:
-
日期:2024-06-13 14:54:38 ( 541天前 )
-
医院:
-
医生:
-
价格:
-
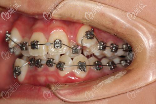
术前照片:
-
术后照片:
本案例内容由社区网友分享发布,如有侵权请联系本站删除
我本人是牙齿拥挤,一直想做矫正;所以,前两天到就到我们汉口比较有名的连锁牙科——牙达人口腔看看究竟做牙齿矫正怎么样!下面是我偶遇到一位17岁小妹妹牙列拥挤,戴金属自锁矫正器14个月的真实案例,分享给大家。

为何17岁就要戴牙套矫正牙齿拥挤:
牙列拥挤还导致了牙齿聚结、重叠和扭曲,长得乱七八糟。不仅仅是难看,而且刷牙和使用牙线都清理不干净牙缝的残留物;时间一长,还出现了蛀牙~
牙达人口腔汉阳店的正畸医生给出的矫正方案:
方案一:常规思维设计,采用拔掉4个4号牙的矫治方案,戴透明隐形牙套和金属托槽都可以。
方案二:不拔牙,采用诊断性矫治设计方案,使用金属自锁托槽矫治器。

选择不拔牙戴钢丝自锁牙套的原因:
1、是因为小妹妹害怕拔牙;
2、担心戴传统的钢牙套太过于磨嘴、不适,戴可摘戴的隐形牙套又嫌麻烦.....所以,就选择了进口的3M金属自锁托槽。
3、自锁托槽上面少了结扎丝的捆绑,降低摩擦力,戴上相对会舒适一些,还能延长复诊时间。

还有就是,我了解到未成年人的牙槽骨还在发育期,所以矫正的时间也要比成年人快一些,这位17岁的小妹妹就只用了14个月,成人的话少说也要2年左右。




