价格仅4万的韩国伊诺半口种植案例,型号是潜入式和内固定两种
-
项目:
-
日期:2021-01-04 18:11:28 ( 1801天前 )
-
医院:
-
医生:
-
价格:
-
术前照片:
-
术后照片:
本案例内容由社区网友分享发布,如有侵权请联系本站删除
我是国庆搞活动的时候做的半口种植手术,价格是4万,包含基台和牙冠,我用的是韩国伊诺潜入式和内固定两种型号。(我的价格仅供参考哦)

(Ct片下的牙部形态)
做的即刻负重手术,我在24小时之内经历了拔牙,种植,佩戴螺丝固位的过渡义齿,所以我当天就可以逛街,吃饭也不受影响,而且因为义齿会覆盖缝合后的伤口,所以只有轻微的出血和肿胀。

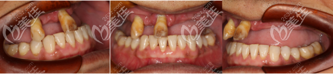
(术前牙齿状况)
我在种植之前医生让我看过种植体,说下我的观感:
它是内六角设计,不管我看到的是多大的直径,平台都是一样的,顶部螺纹比我之前看到的国产的品牌更宽而且更深,它有4条螺旋形圆弧状的凹槽,(医生为了提高牢固性,可以在里面放入了一点点人工碎骨),种植体顶部是螺旋状的纹路。

(特意从往上找的伊诺种植体配图)
伊诺种植后会生成稳定的骨膜,防止了牙周产生炎症,我之前还害怕我的牙槽骨被挤压坏死,从我的恢复来看并没有发生。

(术后效果)
谈谈我花了4万做的韩国伊诺半口种植体的稳定性:(下面有我做的功课,还有面诊时候医生给我讲的一些干货,大家可以参考下)
它是四级纯钛材料,表面经过喷砂酸蚀并且阳极氧化处理之后,形成了被称为改性阳极氧化的一种亲水种植体,除此之外,伊诺还研发了rhBMP-2涂层处理,这些都提高了种植初期,细胞附着在种植体的数量和骨结合力度。

(种植前后对比照片)
伊诺种植体表面是均匀的几何形状,有因为表面含有大量的NA+、ca2+、po4 3-,这些都让种植体变得极其亲水,增强了骨结合的能力和速度。




