拥挤的牙齿不用拔牙,常州美奥医生只是用无托槽隐形矫治器就正畸成功了呢
-
项目:
-
日期:2020-12-31 11:14:40 ( 1806天前 )
-
医院:
-
医生:
-
价格:
-
术前照片:
-
术后照片:
本案例内容由社区网友分享发布,如有侵权请联系本站删除
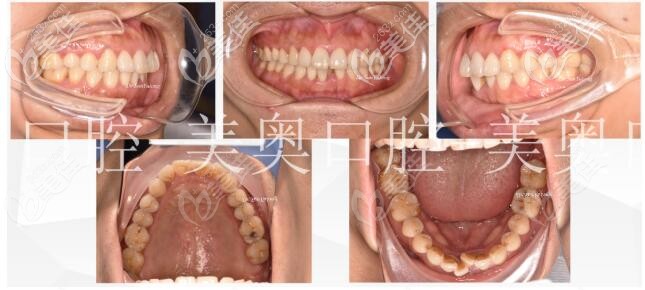
很多人都担心牙齿矫正的过程中要拔牙,但是今天常州美奥就分享一例正畸案例,不用拔牙,用无托槽隐形矫治器来改善拥挤的牙齿问题。
面诊常州美奥之前,他已经经历了三十多年的牙齿拥挤问题,因为觉得错过了正畸的黄金年龄,抱着试试看的心态,预约了美奥口腔正畸科主任孙玉龙孙主任。
经过术前的一系列拍片、口内基础检查后,他跟着护士来到了孙主任的诊室,在整个沟通的过程中孙主任非常耐心的说明了情况。

结合实际的口腔问题,只是存在牙齿拥挤的问题,牙周状况、口腔卫生、口腔黏膜等都是正常的,没有什么太大的问题。
介于此,孙医生给出了参考方案:不拔牙,但因为下颌前牙牙周状况不佳,建议采用无托槽隐形矫治器矫治,利用隐形矫治轻力精准的特性,以减小下颌前牙松动脱落的概率,另外通过邻面去釉提空间隙,排齐整平上下颌牙齿故采用隐形矫治,治疗结束后需要佩戴保持器巩固治疗。

正因为选择的是无托槽隐形矫治器矫正牙齿,不使用牙套和托槽的金属弓丝,孙医生指出术后基本上是近乎隐形的。
6个月后口内照,之前拥挤、参差不齐的牙齿现在已经有了明显的改善,后续还要在下颌以舌侧保持器进行固定,加强下颌前牙的稳定性。

其实后续的治疗也没有想象中那么麻烦,每两周更换一套新的矫治器,每6到8周进行复查。但还是能感觉到矫正牙齿对医生的技术要求很高,所以建议正畸的朋友要谨慎的选择口腔医院和医生。




