成都锦江区极光口腔做深覆合矫正案例图到,速来查收效果!
-
项目:
-
日期:2020-12-31 09:03:21 ( 1805天前 )
-
医院:
-
医生:
-
价格:
-
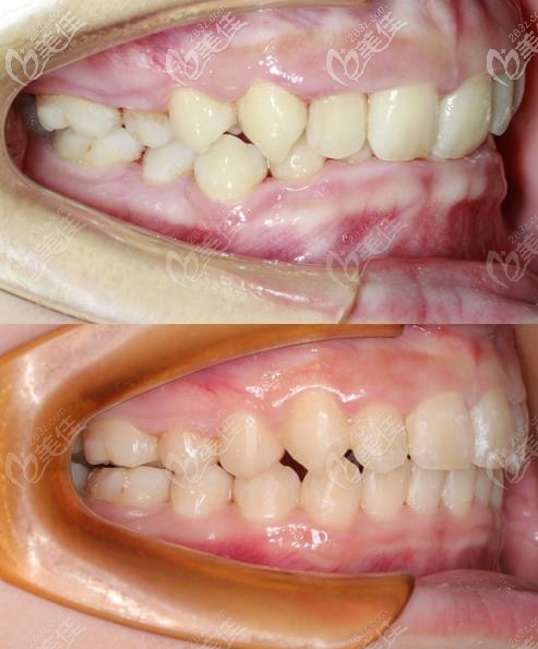
术前照片:
-
术后照片:
本案例内容由社区网友分享发布,如有侵权请联系本站删除
网上看到蛮多小伙伴关注成都极光口腔做矫正效果的,我就不得不站出来了!在锦江店做过矫正的我今天就来为大家分享一下我矫正的经历吧!

起初没有意识到自己牙齿有问题,直到朋友们都说我总“包着嘴”,我这才意识到自己牙齿出了问题,当时闺蜜陪着我去了好几个成都比较正规的口腔,好像有什么君臣、茁悦啥的,后面去的极光,当时面诊的是个矫正的主任医师。

那个医生给我说了很多专业的话看我不懂,就比较耐心跟我说我这个牙齿是深覆合深覆盖,做矫正才能调整过来,也犹豫了几天,才决定去做!
当时选的牙套是金属的,价格还可以,花了七八千的样子,刚带上牙套的时候会有一点不适应,吃东西会很痛苦,睡觉也不敢侧着睡,怕压着脸,还上火,嘴里有俩溃疡,也是折磨的很,大概过了有一星期才慢慢习惯!
矫正过程就不给大家细说了,反正是经历了一年零8个月的时间,我终于取下牙套,看着牙齿也慢慢变整齐,心里也比较开心。

具体我也不懂,按照医生的话是这么说的:从矫正前后的照片对比看,我前牙的反合解除,深覆合和覆盖的关系已经调节正常,牙间隙也关闭,矫正的效果很nice!
那咱也不懂,就把照片放出来给大家看看吧!大家来评价下成都锦江区极光口腔做矫正的效果怎么样吧!
好啦,关于我矫正牙齿的那些事,今天就先分享到这哦,小伙伴们你们有不明白的可以留言给我哈,我都会及时给大家回复的哦!




