合肥美奥口腔小护士自述:就戴了快一年的金属托槽,牙齿不齐就给矫正过来啦
-
项目:
-
日期:2020-12-07 16:29:21 ( 1824天前 )
-
医院:
-
医生:
-
价格:
-
术前照片:
-
术后照片:
本案例内容由社区网友分享发布,如有侵权请联系本站删除
牙齿矫正这个项目,越来越多的人去做,不管是金属的、舌侧的还是隐形的,都会有不同的人群选择去做。但还是有不少宝宝想要矫正牙齿不知道该选择哪个方式,因此为了给baby们科普所以专门去找了案例给大家瞅瞅,这不就刚好找到了合肥美奥的一名小护士的矫正经历,一起来看看吧。
小护士的牙齿就是比较常见的牙齿不齐、牙前突等两种情况,当时想要整牙就是因为快要结婚了,想要当一名美美的新娘,所以就在本院找了潘广东医生进行矫正,调整牙齿的咬合情况。好了前情给大家说了,下面就开始正文了:

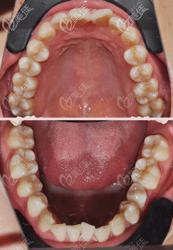
看见小护士这张术前照,能明显的看出来牙齿不齐还有钱前凸,虽然不明显,但小护士是比较高要求的。所以在找潘医生面诊后就决定用金属托槽矫正(别问为什么,问就是穷),矫正后感觉牙齿一直有点酸疼,连张嘴吹个风都不舒服,还有就是感觉嘴巴里有个异物,吐又吐不出来,很难受。

小护士表示前期刚戴牙套吃什么都不舒服,吃锅贴饺都是只吃皮和馅的,不能吃硬的,不能吃塞牙缝的,不能吃带色素的,反正前期真的是太难受了。到半个月左右才差不多习惯,该吃吃该喝喝,但每天就是要多刷牙,要不然牙套会塞东西。(强烈建议有条件的还是选隐形比较好)

整体戴牙套的话小护士说自己总共用了一年的时间,前期定期找潘医生去复诊,根据矫正的程度调整牙套的固定强度,每次复诊都是一次酸爽的经历。不过潘医生表示矫正效果还是不错的,大概还剩4、5个月的时间就能去掉牙套戴保持器了。

这是小护士到期去掉牙套时的照片留念,去牙套的时候她表示很不舒服的,感觉和戴牙套的疼痛一样,毕竟也是用了一年多的东西,不过去掉牙套后发现牙齿整齐了不少,而且还变白了,整体的改善效果还是比较自然,不过去掉之后就直接戴起了保持器,毕竟还是要稳定下牙齿的,不然很容易恢复到原来的样子的。

基本上小护士的矫正牙齿经历就到此为止了,可以看出来整个矫正流程是简单且有繁琐的,简单是不用管太多,繁琐是需要注意的太多,当然这是做牙齿矫正必须要经历的事,所以亲亲们做矫正前还是要考虑好哦。




