在福州登特口腔做的韩国登腾即刻种植牙当天就能使用,效果很满意
-
项目:
-
日期:2020-11-23 16:48:23 ( 1844天前 )
-
医院:
-
医生:
-
价格:
-
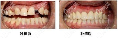
术前照片:
-
术后照片:
本案例内容由社区网友分享发布,如有侵权请联系本站删除
牙齿缺失是不少人的困扰,不过随着口腔技术的发展,现在种植牙越来越受到认可,而即刻种植则是近两年关注比较多的。

毕竟每个人都希望缺牙问题及时得到解决,如果过程比较长,也真的是影响美观。这不就有福州的小伙伴问哪里有做即刻种植的?
福州登特口腔做韩国登腾即刻种植牙效果不错
案例一:
刘女士几年前长了颗虫牙,但是自己的一直没有注意,直到开始疼才来福登特口腔检查,经过拍片检查,医生说她的牙齿残根已经没有保留价值,建议拔除再做种植牙。

不过刘女士口腔健康还是比较好,牙槽骨也适合种植牙的条件,在医生的建议下,刘女士做了韩国登腾的即刻种植牙,手术后刘女士非常满意种植牙的效果,也表示以后会更加注腔健康。
案例二:
廖先生一次骑摩托车不慎把牙齿磕掉一颗磕断一颗,太忙了就没抽出时间补牙,不过因为是前牙确实是在影响形象,就在同时的介绍下来来到了福州登特口腔。

因为牙齿是磕掉的,所以廖先生还保有牙根,加上没有其他的口腔问题,医生也是推荐他做了韩国登腾的即刻种植牙。
治疗后,廖先生说"我的缺损牙不仅恢复了牙齿的形态,还拥有了正常的咀嚼功能,咬合力和真牙差不多,也没有磨损两侧的健康牙齿,口感良好,无异物感,真的很满意。
福州登特口腔的登腾种植牙有保险,术后更有保障

以前很多人担心,做了种植牙坏了怎么办,毕竟一颗种植牙不便宜呢,过为了保障各个的权益,福州登特携手四大种植体品牌厂商全面推出“种牙无忧保”险种。
一、种植牙专属的医疗保险:
登特口腔就上线了这款种植牙保险专为种牙人群定制,由登特口腔和4大欧美种植体厂商共同承担保障,顾客无需支付投保费,无等待期,只需签定保障合同“保险”立即生效。
二、种植牙术后更有保障
顾客完成种植诊疗后保障期内如若发生种植体脱落、断裂不仅可享受免费补种还能获得相应现金赔偿。
三、理赔简单快捷
种植后即完成保险激活,确认非外力作用导致的脱落,即刻申请理赔,获得相对应补偿措施及金额。




