种植过牙的人亲身经历告诉你:后牙缺失3颗在昆明美奥口腔做诺贝尔种植牙的质量和价格如何
-
项目:
-
日期:2020-11-19 15:13:31 ( 1848天前 )
-
医院:
-
医生:
-
价格:
-
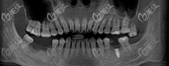
术前照片:
-
术后照片:
本案例内容由社区网友分享发布,如有侵权请联系本站删除
看到网上有人说“做了种植牙我不想活了”,小编想说的是,其实做种植牙也没有这么耸人听闻吧!快来看看35岁的他在昆明美奥口腔做瑞典诺贝尔种植牙的真实案例吧,一起瞅瞅瑞典诺贝尔种植牙的质量和价格怎么样,这可是种植过牙的人亲身经历呢!
顾客信息:
姓名/年龄:任先生,35岁;
牙齿情况:左下后牙种植过一颗,右下后牙缺失两颗;

治疗方案:顾客咨询后,要求植入诺贝尔种植体;
主治医生:赵树起。

顾客自述:
由于之前不重视口腔卫生,导致年纪轻轻的就缺失3颗牙齿,有时候疼得只能用门牙吃饭(可别跟上我学哦),幸好及时在昆明美奥口腔做了诺贝尔种植牙,要不然门牙都不保啊!
有次在跟同事的聊天中说起想整牙这个事,他向我推荐了昆明美奥口腔,抱着试一试的态度来到了美奥口腔,真是大跌眼镜,感觉和家里差不多,环境干净整洁,宽敞;有水吧区、儿童玩耍区......


医生和护士也很负责,对于我的疑问,也是非常耐心的回答,治疗方案和价格问题都很明了。
做手术的时候没感觉多疼,更重要的是手术过程很快,我选诺贝尔种植体的原因之一就是:不用等待拔牙后伤口的愈合,可以做即刻修复,减少了手术的次数,也缩短了治疗时间;直径3.0mm—4.9mm,长度7mm—18mm,植体的种类还是较多的。

做完手术当天晚上就接到了回访电话,很是关心顾客啊,去医院复诊的话,还会提前通知并告诉你来是干什么的,这种小细节让我更加信任美奥口腔,毕竟是大型连锁齿科品牌,还是值得信赖的。

经过观察和恢复,我又去种植了另外两颗,而且这次还有直播拍摄,活动现场人很多,我还被受邀抽取礼品呢,听说一等奖是诺贝尔种植体5折呢,不过我没抽到,好羡慕啊!


种植过牙的人亲身经历:种植牙手术过程痛感很小,而且时间比补一颗牙的时间话短,没想到诺贝尔种植体真给力啊,在美奥口腔种完牙后,以前不敢吃的东西都可以吃啦,生活质量也提高了许多。

小编悄悄告诉你:诺贝尔nobel种植体是四级冷作钛,而且纯钛这种材质是用来做心脏支架的,所以价格也稍高,一般在13000元起,当然,如果植体的渠道不正规,价格会便宜点,也没有办法质保哟!




