嗨,杭州雅莱齿科的牙齿正畸案例更新了!含有深覆颌矫正的效果图哦
-
项目:
-
日期:2020-10-27 16:51:01 ( 1869天前 )
-
医院:
-
医生:
-
价格:
-
术前照片:
-
术后照片:
本案例内容由社区网友分享发布,如有侵权请联系本站删除
做矫正,医生的方案设计尤为重要,是决定你矫治效果的关键。有图有真相哦~文中就是杭州雅莱齿科王龙医生的牙齿矫正案例,大家可以看看,诸如深覆颌牙齿的矫正效果如何。

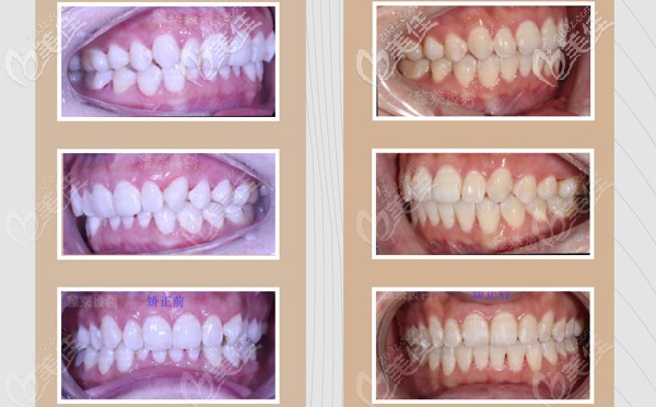
(深覆颌矫正的前后效果图) ↑
上图就是雅莱齿科王龙医生亲诊的病例,典型的深覆颌症状。
牙齿深覆颌,很容易咬伤牙龈,还容易导致前牙牙周炎及面部关节疾病,还一定程度的影响咀嚼功能。
从外貌来说,牙齿深覆合会使我们的下面部变短,达不到美学中“三庭五眼”的审美标准。这也是许多有深覆合的人选择做矫治的原因。

图一中那位顾客,在雅莱齿科历时2年完成了她的深覆合矫正。矫正后的牙齿排齐,咬合恢复正常。
顾客自述,她之前因为深覆合导致“没有下巴”,牙齿整齐后,下巴也貌似出来了。好久没见的同学,都以为是做了垫下巴呢,其实只是矫正了牙齿.....
所以说,找一位靠谱的正畸医生太重要啦,在帮你治疗牙齿问题的同时,还能一定程度的提升“颜值”呢!

(牙齿不齐外突的矫正效果) ↑
这也是王龙院长随机抽取的新案例,牙齿拥挤不齐+外凸。术后,牙齿牙列整齐,咬合非常良好。
王龙院长表示:牙齿矫正不仅仅是排齐牙齿,更是纠正不良的咬合关系,恢复牙齿的正常功能和状态,也能在一定程度上改善由于牙齿问题而导致的面型问题。




